Ежедневно с 8:00 до 21:00

+7 (495) 324-50-50

пр. Космонавтов, д.11

+7 (495) 151-88-18

Детское отделение

+7 (495) 989-00-48

пр. Космонавтов, д.37

+7 (495) 156-20-30

ул. Терешковой, д.8

+7 (495) 104-42-00

отдел качества

+7 (495) 801-68-68

Общий телефон

+7 (495) 324-50-50

пр. Космонавтов, д.11

+7 (495) 151-88-18

Детское отделение

+7 (495) 989-00-48

пр. Космонавтов, д.37

+7 (495) 156-20-30

ул. Терешковой, д.8

+7 (495) 104-42-00

отдел качества

Ежедневно с 8:00 до 21:00

Взрослая стоматология
Детская стоматология
+7 (495) 801-68-68

Общий телефон

+7 (495) 324-50-50

пр. Космонавтов, д.11

+7 (495) 151-88-18

Детское отделение

+7 (495) 989-00-48

пр. Космонавтов, д.37

+7 (495) 156-20-30

ул. Терешковой, д.8

+7 (495) 104-42-00

отдел качества

Взрослая стоматология
Детская стоматология

Ортодонт

Смолкина Марина Андреевна

  • Эксперт по «незаметной технике лечения» без брекетов
  • Ведущий социалист по ортодонтической подготовке перед протезированием, установкой̆ имплантатов
  • Специалист В лечении пациентов с ВНЧС
Смолкина Марина Андреевна
Марина Андреевна – стоматолог-терапевт медицинского центра. Стаж работы доктора 5 лет.

Марина Андреевна обладает хорошим клиническим мышлением, комплексно подходит к лечению пациентов. 
Доктор специализируется на ортодонтическом лечении, выполняет все виды процедур, направленных на коррекцию прикуса и выравнивание зубов. Кроме того, доктор занимается дисфункцией ВНЧС, проводит сплинт-терапию и, при необходимости, подключает к лечению остеопата и невролога. Такой комплексный подход позволяет доктору эффективно решать вопросы, связанные с коррекцией прикуса у пациентов.

Наши пациенты отмечают ее ""легкую руку"" в работе, позитивное отношение и профессионализм. Многие пациенты приходят по рекомендации, подтверждая высокую репутацию доктора среди тех, кто уже воспользовался ее услугами.

Стаж работы

5 лет

Принимает клиниках

  • пр. Космонавтов, 37

Специализация

  • Ортодонт

Сертификаты

1292
1293
1294
1295
1296
1297
1298
1299
1300
1301
1302
1303
1304

Отзывы по врачу

Читать все отзывы

Врач: Смолкина Марина Андреевна

Мне нужна была помощь с исправлением прикуса для моего сына. Марина Андреевна очень терпеливо объяснила нам всё по шагам и предложила современные методики лечения. Теперь его зубы ровные, и он гордится своей улыбкой. Спасибо врачу за заботу!...
Мне нужна была помощь с исправлением прикуса для моего сына. Марина Андреевна очень терпеливо объяснила нам всё по шагам и предложила современные методики лечения. Теперь его зубы ровные, и он гордится своей улыбкой. Спасибо врачу за заботу!
Показать весь отзыв

Врач: Смолкина Марина Андреевна

Я ходила к Марине Андреевне на лечение дисфункции ВНЧС. У меня были проблемы с челюстным суставом, и врач предложила комплексное решение. После её работы чувствую себя намного лучше — боль исчезла, и я снова могу жевать без дискомфорта. Рекомендую вс...
Я ходила к Марине Андреевне на лечение дисфункции ВНЧС. У меня были проблемы с челюстным суставом, и врач предложила комплексное решение. После её работы чувствую себя намного лучше — боль исчезла, и я снова могу жевать без дискомфорта. Рекомендую всем!
Показать весь отзыв

Врач: Смолкина Марина Андреевна

Марина Андреевна — настоящий мастер своего дела! Лечил у неё скученность зубов. Врач внимательно выслушала мои жалобы и предложила эффективное решение. После лечения чувствую себя намного увереннее в своей улыбке....
Марина Андреевна — настоящий мастер своего дела! Лечил у неё скученность зубов. Врач внимательно выслушала мои жалобы и предложила эффективное решение. После лечения чувствую себя намного увереннее в своей улыбке.
Показать весь отзыв

Врач: Смолкина Марина Андреевна

Обратилась к Марине Андреевне с проблемой неправильного прикуса. Она предложила лечение брекетами и всё объяснила доступно, без сложных терминов. Процедура прошла комфортно, а результат превзошёл все ожидания — теперь мои зубы идеально ровные! Спасиб...
Обратилась к Марине Андреевне с проблемой неправильного прикуса. Она предложила лечение брекетами и всё объяснила доступно, без сложных терминов. Процедура прошла комфортно, а результат превзошёл все ожидания — теперь мои зубы идеально ровные! Спасибо врачу за профессионализм!
Показать весь отзыв

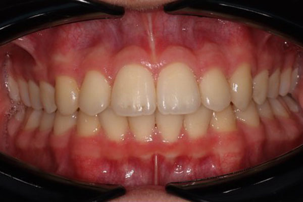
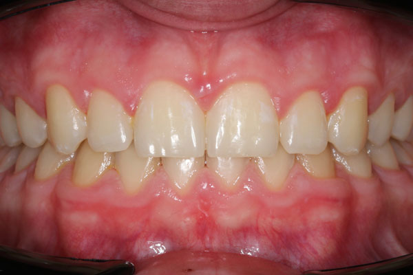
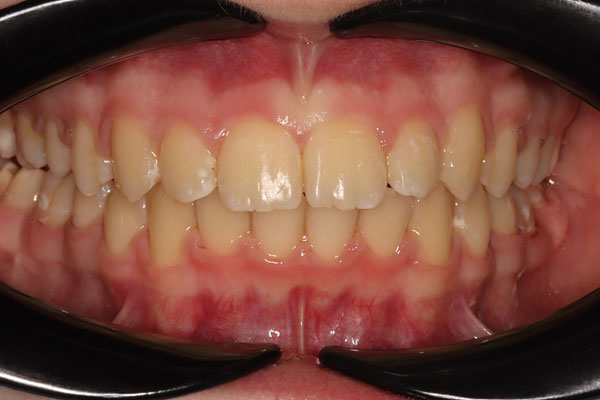
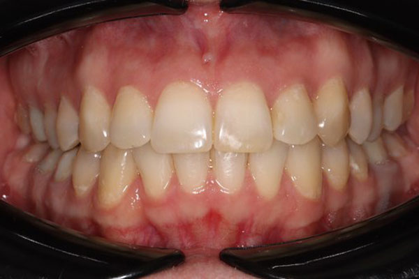
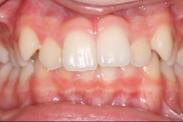
Работы врача

Фото ДО
Фото ПОСЛЕ

Наведите для просмотра

Исправление прикуса

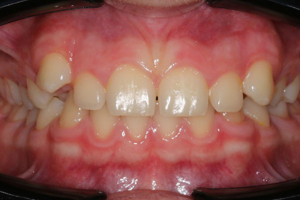
Фото ДО
Фото ПОСЛЕ

Наведите для просмотра

Исправление прикуса

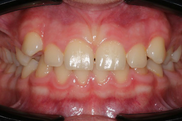
Фото ДО
Фото ПОСЛЕ

Наведите для просмотра

Исправление прикуса

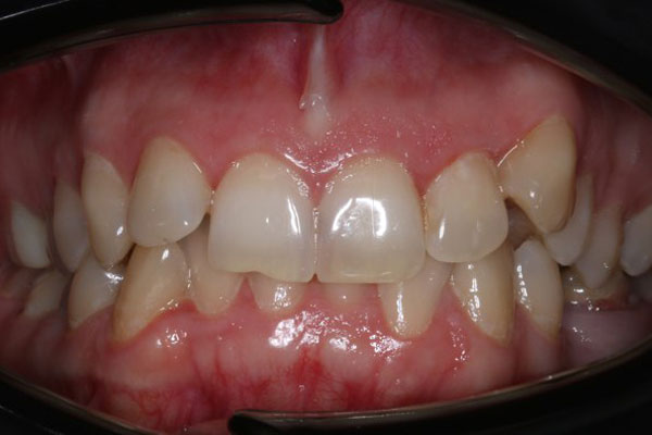
Фото ДО
Фото ПОСЛЕ

Наведите для просмотра

Исправление прикуса

Клиники, в которых принимает специалист

Центр экспертной ортодонтии и цифровой стоматологии

Консилиум врачей в подарок Получить подарок