Установка детских коронок в Королеве
Некоторые родители относятся к молочным зубам своих детей без должного внимания, полагая, что если зубы «все равно скоро выпадут», то можно не обращать внимания на их разрушение. Такой подход может привести к серьезным неприятностям, начиная от проблем с дикцией, которые возможны при серьезных разрушениях зуба, и до поражения кариесом постоянного зуба в тот момент, когда он еще даже не прорезался, но уже находится в общем ложе с молочным кариозным зубом.
Основные преимущества коронок на молочные зубы
- Коронки позволяют сохранить молочные зубы до момента их замены на постоянные;
- У поврежденных зубов полностью восстанавливается функциональность;
- Не происходит нарушения дикции;
- Улыбка остается эстетичной, что крайне важно для детской самооценки;
- Благодаря коронкам происходит активизация роста челюстных костей, что помогает сформировать правильный прикус.
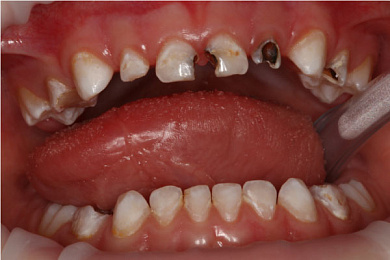
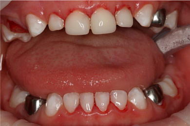
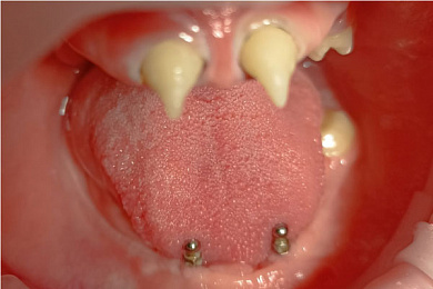
Примеры лечения зубов:
Статьи
Врачи направления:
Цены:
Наши лицензии:
Когда ставятся коронки на молочные зубы?
Коронки на молочные зубы, как правило, ставят в тех случаях, когда нет возможности поставить пломбу, либо же пломба не приведет к желаемому результату. К тому же пломбы на молочных зубах держатся не слишком хорошо и до момента, когда зуб естественным образом выпадет, может понадобиться несколько раз заменить пломбу на новую.
Отзывы наших пациентов:


группа Вконтакте
канал в Телеграм





Клиника уровня «Эксперт», взрослое отделение
Детское отделения
Центр экспертной ортодонтии и цифровой стоматологии
Клиника экстренной помощи