Лечение кариеса молочных зубов в Королёве
Зубы малыша нежные и чувствительные, поэтому и уход за ними требуется особенно тщательный. В силу своих анатомических особенностей, молочные зубы более подвержены кариесу. Именно поэтому лечение кариеса молочных зубов должно проводиться незамедлительно, чтобы предотвратить дальнейшее распространение процесса, который развивается стремительно.
Опасность кариеса молочных зубов:
Опасное заблуждение в том, что молочные зубы лечить вообще не обязательно, может привести к очень серьезным проблемам, так как:
- От состояния молочных зубов зависит формирование и здоровье постоянных;
- Кариес на молочных зубах может быстро перерасти в периодонтит и пульпит;
- Молочные зубы с невылеченным кариесом, приведшим к осложнениям, приходится удалять, что серьезно затрудняет процесс жевания и вызывает нарушения пищеварения, а в дальнейшем провоцирует формирование неправильного прикуса;
- Кариозные зубы нередко вызывают насмешки сверстников, снижающие самооценку малыша.
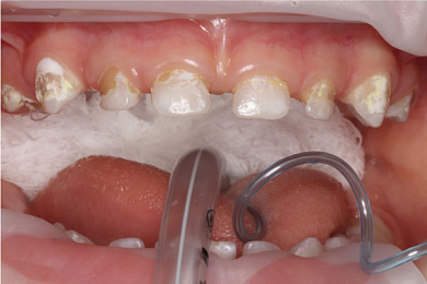
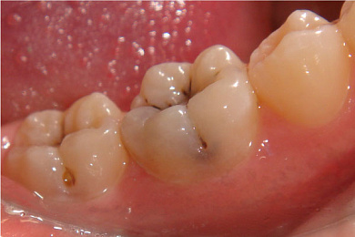
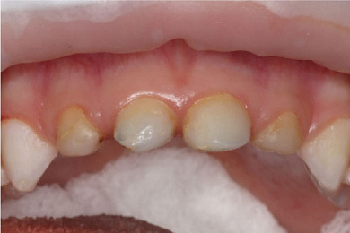
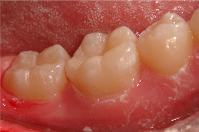
Примеры лечения зубов:
Статьи
Врачи направления:
Цены:
Наши лицензии:
Кариес молочных зубов можно вылечить и без бормашины!
Лечение кариеса молочных зубов имеет принципиальные особенности, учитывающие специфику их строения. Как правило, для лечения используются стеклоиномерные материалы, которые обеспечивают истирание пломбы одновременно с естественным стиранием молочного зуба, а также укрепляют окружающие пломбу ткани. На ранних стадиях кариес можно вылечить и без бормашины, с применением современной технологии ICON, когда композитный материал наносится на поврежденный участок.
Особенности лечения кариеса у детей
Для лечения глубокого кариеса молочных зубов требуется механическое воздействие для вскрытия и очистки кариозной полости. Как правило, препарирование проводится традиционно – бор-машиной. Но есть и современные малотравматичные методики, например водно-абразивное препарирование. Применение специальных пломб, в состав которых входит кальций, фосфор и фтор не только помогает восстановить целостность зуба, но и укрепляет его структуру. На молочные зубы можно ставить разноцветные пломбы – выбирая любимый цвет, ребенок забывает о неприятных ощущениях и лечение превращается в веселую игру.
Немаловажный аспект при лечении детей – обезболивание. Важен как сам выбранный врачом анестетик, так и способ его введения. Современная детская стоматология использует инъекторы, не пугающие ребенка, как шприц, и не доставляющие боли и дискомфорта при введении местного анестетика. Так же для беспокойных малышей применяется седация или общая анестезия (наркоз).
Важно помнить, что при обнаружении кариеса на молочных зубах необходимо обсудить с детским стоматологом методы лечения и совместно выбрать максимально эффективные и комфортные для вашего ребенка.
Отзывы наших пациентов:
Инна Александровна постепенно пролечила все зубы, требующие этого. Дала несколько советов по домашнему уходу, к которым я прислушалась.
Сейчас раз в год хожу на гигиену, всегда стараюсь к ней попасть. И уже последние пять-шесть лет не было ни одного кариеса или каких то других проблем с зубами.
С ней всегда спокойно, я ей доверяю на все 100%! Настоящий мастер своего дела!
Мои две дочки тоже ходят к ней. Зубки отличные, старшей делаем иногда герметизацию-помоему так называется.
Муж был у Инны Александровны один раз, после его ни чего не беспокоило.
Знаю, что к ней многие пациенты приезжают регулярно из других городов и даже стран. И я их понимаю!
Рада, что есть этот Врач! Врач, который вылечивает! Врач которому доверяешь! И рекомендуешь своим друзьям!



группа Вконтакте
канал в Телеграм





Клиника уровня «Эксперт», взрослое отделение
Детское отделения
Центр экспертной ортодонтии и цифровой стоматологии
Клиника экстренной помощи