Взрослая стоматология в г. Королёв
Стоматология "Интердентос" оказывает полный спектр стоматологических услуг для взрослых, начиная от простого лечения кариеса заканчивая сложными случаями имплантации и протезирования.
Мы внимательно следим за новинками стоматологии и регулярно обновляем оборудование для лечения и используем передовые материалы.
Взрослая стоматология
В клиниках "Интердентос" есть все необходимые специалисты, специализации которых охватывают полный спектр стоматологических проблем у взрослых.
- сильные разрушения
- потеря зубов
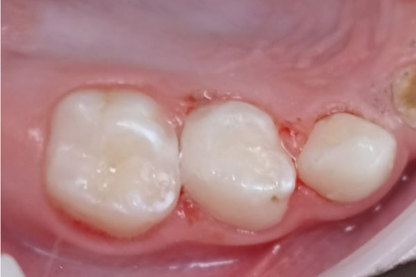
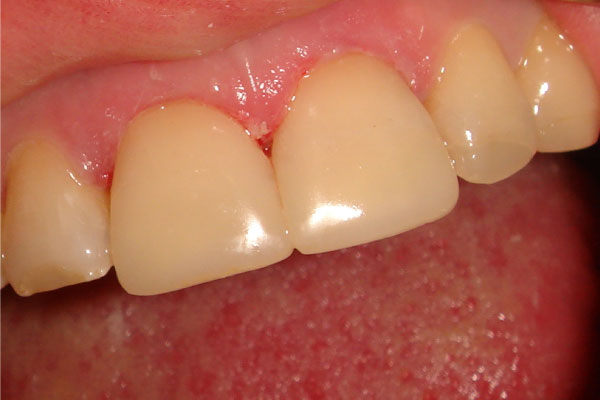
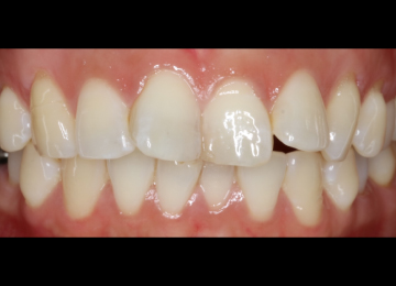
- необходимость протезирования
- пародонтит
- изменение цвета и потемнение эмали
- неправильный прикус и расположение зубов
Перечислим проблемы с зубами, которые часто присутствуют во взрослом возрасте:
Статьи
Врачи направления:
Применяемые технологии:
Наши лицензии:
Не откладывайте лечение зубов "на потом".
Мы всегда напоминаем о важности профилактики, даже после успешно выполненного стоматологического лечения. Часто, проблемам зубов во взрослом возрасте предшествовало недостаточное количество уделяемого внимания.
Помните, что легче вылечить зубы на ранней стадии, чем проводить сложное и комплексное лечение, в случае со взрослыми людьми - включающее протезирование, установку коронок или в ряде случаев - зубных имплантатов.
Современный ритм жизни, нехватка времени зачастую вынуждает взрослых пациентов откладывать визиты к стоматологу, особенно, когда объективно нет никаких болей, а зубы внешне выглядят здоровыми. Однако мы настоятельно рекомендуем хотя бы раз в полгода приходить на профилактические осмотры, проходить гигиеническую чистку (как профилактику от кариеса и пародонтита), реминерализацию зубов.
Отзывы наших пациентов:
Он взялся за исправление косяков, наделанных именитыми врачами Москвы и, ему это удалось!
Доктор подробно и наглядно все объясняет, не назначает кучу процедур и лекарств "на всякий случай". Ну, а его чувство юмора способно разрядить непростую обстановку во время операции.
У вас бывало чувство, что вы в надежных руках и все будет хорошо? Вот именно такое чувство меня посещало при каждом визите Ашота Мартиновича.
Более того, доктор по снимку КТ зубов обратил мое внимание на проблему (и ее источник) с носом, хотя даже профессиональный ЛОР поставил до этого неверный диагноз.
Доктора, безусловно, рекомендую! Очень он классный!



группа Вконтакте
канал в Телеграм





Клиника уровня «Эксперт», взрослое отделение
Детское отделения
Центр экспертной ортодонтии и цифровой стоматологии
Клиника экстренной помощи