Лечение травм зубов у детей в г. Королёв
Независимо от того, какую травму вы получили, в клинике «Интердентос» вам окажут необходимую помощь, назначат комплексную терапию, которая позволит в максимально сжатые сроки вернуться к полноценной жизни. Чтобы записаться на прием или получить срочную консультацию, звоните по телефонам медицинского центра или пишите на электронную почту.
Распространенные травмы зубов у детей:
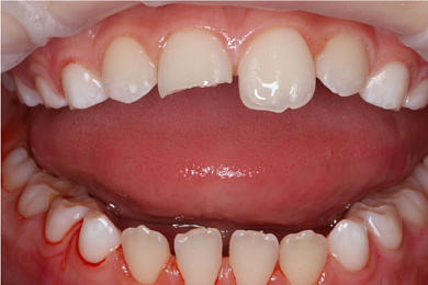
Падения и удары – главные причины травм зубов. Чаще всего страдают верхние резцы, после них – нижние, реже всего – зубы с 4 по 8. В числе самых распространенных повреждений – вывихи и сколы, а перелом зубного корня – наиболее редкая травма.
Все зубные травмы разделяются на:
- Ушиб
- Неполный вывих, или травматическая дистопия – бывает вертикальная, сагиттальная, трансверзальная
- Полный вывих, или потеря зуба
- Повреждение целостности – перелом коронки или корня (бывает продольный, поперечный, косой)
- Комбинированное травмирование.
Примеры лечения зубов:
Статьи
Врачи направления:
Цены:
Наши лицензии:
Ушиб
Подразумевает сохранение зуба в целости, возможно кровотечение в пульпу в результате механического повреждения, когда разрывается сосудисто-нервный пучок. Изменения не затрагивают прикус в большинстве своем.
Симптоматика и диагностика
Непосредственно после получения травмы и еще на протяжении определенного времени чувствуются болезненные ощущения в поврежденном костном образовании при попытках укусить. В процессе осмотра иногда проявляется небольшая подвижность коронки, но только в одну сторону, при постукивании ощущается боль. При этом визуально невозможно определить никаких нарушений тканей вокруг.
Следует наблюдать за состоянием больного при помощи электроодонтодиагностики, которую проводят в стоматологической клинике через 1, 3 и 6 месяцев после травмирования. Это позволит оценить, как идет процесс восстановления. Если наблюдается рост показателей при диагностике, потребуется переходить к депульпированию, поскольку такая картина символизирует о гибели соединительной зубной ткани. Эндодонтический метод лечения сопровождается дальнейшим опломбированием зуба или его канала.
Визуальная характеристика при ушибе зуба схожа с другими нарушениями:
- Неполная травматическая дистопия – здесь зуб может быть подвижен в разных направлениях. На рентгене заметно увеличение периодонтальной щели.
- Корневой перелом – на рентгенографическом снимке видны нарушения целостности костного образования.
- Внутрипульпарная гранулема – на одной из частей коронки отмечается изменение окраса на розовый.
Терапия
При диагностировании ушиба нет необходимости в хирургическом лечении. Достаточно обеспечить полный покой, исключить возможное давление на травмированный зуб, соблюдать диету, которая обеспечивает минимальное механическое воздействие. В зависимости от степени поражения, иногда назначается противовоспалительная терапия.
Если по результатам электроодонтодиагностики наблюдается омертвение пульпы коренного зуба, прибегают к ее удалению и последующему пломбированию канала. Если речь идет о молочном – лечат или удаляют весь зуб.
Вероятные последствия ушиба:- пульпа полностью восстанавливается;
- необходимо удалить соединительную ткань вследствие прекращения ее жизнеспособности;
- развивается посттравматический воспалительный процесс;
- сужение или зарастание канала;
- образовывается радикулярная киста;
- корень зуба останавливается в развитии.
Травматическая дистопия
Говоря доступным языком, это частичный вывих. В медицине термин подразумевает значительное нарушение нахождения суставного образования относительно физиологически допустимых пределов, которое ведет к функциональным изменениям. Так как зуб соединяется с лункой не посредством сустава и суставных компонентов, то в действительном понимании этого слова вывих зуба невозможен. Данное понятие условно, как и вывих хрусталика глаза, нерва, сухожилия, но оно очень крепко прижилось в медицине.
Учитывая взаимодействие костного образования и лунки, все же правильней будет называть данное повреждение травматической дистопией, то есть смещением положения костного образования со своего места (лунки) в результате растяжения или разрыва периодонтальной связки с последующим повреждением поверхности лунки зубным корнем. Смещение может произойти по одному из вероятных направлений, по которым и различают разновидности вывиха:
- По вертикали – зуб выходит или погружается в костную ткань, также возможно продольное разворачивание образования.
- По сагиттали – изменение положения вперед или назад.
- По трансверзали – поврежденный зуб сдвигается вправо или влево, к соседнему.
- нестационарное положение зуба;
- смену его позиции – вверх, вниз или в сторону;
- нарушение прикуса
- проволочную лигатуру, которая присоединяет травмированный зуб к соседним;
- проволочную лигатуру с металлической скобой-шиной, когда вывихнутый зуб присоединяют к нескольким соседним с обеих сторон;
- пластмассовую шину-каппу, которая присоединяет поврежденный зуб к нескольким соседним с одной стороны;
- шину из материала, используемого для создания пломбы.
- травмирование сосудисто-нервного пучка;
- распространение периодонтита или периостита;
- остановка развития корня;
- сращивание зуба в неверной позиции;
- нарушения и изменения в формировании челюсти.
- Применяют местную или общую анестезию.
- Производят кюретаж лунки, то есть выскабливание, чтобы очистить область от крови, костных обломков, посторонних предметов.
- Лунку обеззараживают и вызывают кровотечение, чтобы увлажнить участок.
- эмали;
- коронки в пределах дентина;
- всей коронки.
- при травматической дистопии происходит изменение положение костного образования сразу в несколько сторон;
- скол коронки с вывихом зуба;
- перелом корня с вывихом зуба;
- перелом коронки с вколоченным вывихом;
- перелом корня с вколоченным вывихом;
- перелом коронки или корня с полным вывихом и так далее.
Жалобы, симптомы и диагностика
Больной может ощущать:
Для неполного вывиха характерно повышение подвижности зуба в результате изменения его положения – выхода из зоны лунки. При этом режущие края травмированного образования не совпадают с плоскостью смыкания, то есть прикус становится неровным. Если после повреждения зуб поворачивается вокруг продольной плоскости, он занимает угловое расположение. Это также приводит к изменению прикуса.
Больной испытывает неприятные ощущения при попытке укусить, неосознанно начинает менять положение нижней челюсти, чтобы поврежденный зуб не контактировал с противостоящим на другой челюсти. В некоторых случаях наблюдается отечность десны или губы, вероятно кровоизлияние, что характерно для травмирования сосудисто-нервного пучка. При этом пучок не разрывается, а растягивается, следовательно, соединительная ткань продолжает функционировать. При постукивании также отмечается болезненность. Рентгенограмма показывает равномерное или неравномерное увеличение периодонтальной щели.
Если речь идет о вколоченном вывихе, то есть погружении образования в костную ткань, часто отекает губа, десна, которая может кровоточить. Зуб может полностью быть погружен в ткань, когда его возможно только прощупать во время осмотра, или быть ниже по сравнению с соседними по высоте.
Когда нет возможности визуально оценить степень повреждения, применяют рентгенографическое исследование поврежденной области. На снимке наблюдается увеличение высоты расположения режущей кромки поврежденного зуба относительно здоровых на верхнем зубном основании, на нижнем, наоборот, пострадавшая коронка оказывается ниже уровня остальных. Также определяют состояние периодонтальной щели, корневую тень. При сильном ударе наблюдается выход костного образования из лунки и его расположение в мягких тканях, челюсти или верхнечелюстной пазухе.
При переломах альвеолярного отростка, образовании щели между зубами во время формирования прикуса, изменении местонахождения зуба при заболеваниях пародонта, анатомических изменениях расположения и переломе коронки выполняют дифференциальную диагностику.
Терапия
Если специалист диагностировал у больного травматическую дистопию, проводят смещение костного образования в нужную область при помощи местной или общей анестезии. Вид обезболивания выбирается с учетом возраста пациента, степени повреждения. После возвращения костного образования на положенное место, его необходимо зафиксировать. Для фиксации применяют:
Материал и способ фиксации выбирают в зависимости от особенностей повреждения, расположения травмированного костного образования, возраста больного.
Если травматическую дистопию определяют на временных зубах, их чаще всего не лечат, а сразу удаляют. Исключение составляет лишь вколоченный вывих, здесь необходимо оставить зуб на месте, поскольку он продолжит рост и со временем займет требуемое положение. Такое возможно только в возрасте до двух лет.
Если по истечении времени восстановления положения не произошло, потребуется посетить ортодонта. Он определит вероятность возможного восстановления или же назначит удаление. При этом воспалительный процесс является показанием к обязательному удалению, после которого остается дефект (устраняется только путем установки съемного протеза).
Когда зубы только формируются, и происходит неполный вывих, необходимо постоянное наблюдение ортодонта, поскольку травма может оказать влияние на формирование всей челюсти. Также показано посещение стоматолога для проведения электроодонтодиагностики, которая позволит оценить состояние пульпы и своевременно определить ее омертвление или перемены в тканях. При выявлении предрасположенности к гибели соединительной ткани, ее нужно удалить и запломбировать канал.
Если вколоченный вывих диагностируют на постоянных зубах, его в большинстве ситуаций не трогают, а по прошествии времени посещают ортодонта для выявления возможности восстановления естественного расположения.
Вероятные осложнения травматической дистопии:
Полный вывих
Травма подразумевает абсолютную потерю связи зуба с лункой и мягкими тканями вследствие разрыва тканей периодонта, сосудисто-нервного пучка или круговой связки. При этом наиболее часто встречается вывих центральных верхних резцов.
Жалобы и симптомы
При повреждении пациент отмечает болезненные ощущения в зоне альвеолярного отростка, отечность губ, кровоизлияния из травмированного участка, отсутствие костного образования. В отдельных случаях пострадавший приходит на прием с выпавшим зубом.
Во время осмотра наблюдается отсутствие костного образования, бывает выступление крови из поврежденной лунки, травмирование мягких тканей альвеолярного отростка. Проводят рентгенологическое обследование, где устанавливают отсутствие образования в лунке и в мягких тканях. Это позволяет исключить вероятность вколоченного вывиха или перелома в корневой области.
Терапия
Когда диагностируют полный вывих, в первую очередь выполняют реплантацию, то есть восстанавливают выпавшую коронку с корнем длиной хотя бы до половины. Если это невозможно, то спустя пару месяцев, когда заживет травмированная область, ставят протез. В случае с временными зубами вопрос сложный – здесь надежность процедуры во многом зависит от состояния соседних зубов.
Как происходит реплантация:
Дальнейшие действия разнятся при разных состояниях пульпы. После того как утерян зуб, реплантация должна выполняться спустя не более 12 часов, в противном случае не избежать пломбирования канала. За это время соединительная ткань сохраняет свою функциональность. Если прошло больше 12 часов, пульпу обязательно нужно удалить, после чего пломбировать канал. После этого в лунку устанавливают зуб и фиксируют его. Очень важно соблюдать гигиену ротовой полости, принимать противовоспалительные, антибактериальные препараты.
Если не прибегать к лечению после полного вывиха, велика вероятность развития воспалительных процессов и дефектов формирования челюсти.
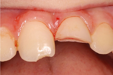
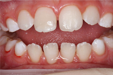
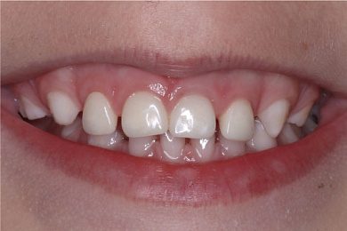
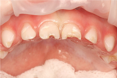
Перелом коронки
Если происходит неполная потеря зуба, то есть его скол, речь идет о переломе коронки. При этом возможно несколько вариантов скола:
Симптоматика и диагностика
Если происходит скол эмали, отмечают только наружное изменение костного образования. При сколе коронки же чувствуется болезненность во время употребления слишком холодной или горячей пищи, ощущается царапание языка, щеки или губ, ведь при этом речь идет уже и о повреждении пульпы. При осмотре можно увидеть изменение внешнего вида зуба, возможно полное отсутствие коронки. В редких случаях проявляется болезненная перкуссия, незначительная подвижность.
Проведя рентгенологическое исследование, отмечается степень повреждения костного образования, соединительной ткани. Если полость зуба не вскрыта, слой дентина над пульповой камерой присутствует; если полость открыта – дентин не обнаруживается.
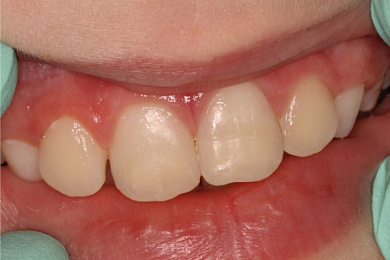
Терапия
При установлении эмального скалывания шлифуют заостренные края, покрывают область лаком с содержанием фтора или другим веществом, который восстанавливает структуру. Необходимо обеспечить полный покой, исключить возможность прикуса. В последствии для устранения дефекта используют пломбировочные материалы. Если при этом пульпарная камера остается нетронутой, достаточно использовать защитную пломбу и коронку. Только после того, как образуется новый дентин в достаточном количестве (для этого обычно нужно до двух недель), можно восстанавливать коронку с помощью материалов для пломбирования.
Когда при переломе повреждается пульпарная камера, очень важно знать время, в течение которого пациент обращается к специалистам. Если прошло менее суток, пульпу реально восстановить – потребуется защитить поврежденную коронку, после чего устранить дефект при помощи пломбирующих компонентов. По прошествии 24 часов после травмирования соединительную ткань необходимо удалить, после чего запломбировать канал и устранить возникшие дефекты.
Если травма происходит в детском возрасте, понадобится постоянное наблюдение стоматолога, пока не сформируется корень зуба окончательно. Если коронка зуба полностью переломана, обязательно пломбирование канала, после чего восстанавливают коронку путем установки штифтового образования, когда постоянный зуб сформирован полностью или больше половины. Бесштифтовое образование устанавливают при помощи пломбировочных материалов.
Перелом корня
В большинстве случаев корни ломаются у постоянных резцов. Учитывая анатомические особенности молочных зубов, с ними такое происходит крайне редко. Перелом разделяется на продольный, косой, осколочный и комбинированный.
Жалобы и симптомы
Для перелома корня характерны болезненные ощущения при попытке укусить, большая подвижность зуба, отечность десны в травмированном участке. Во время визуального осмотра картина нечеткая, все зависит от степени повреждения, состояния соединительной ткани. Возможны небольшая подвижность, болезненность при надавливании. Окончательный диагноз ставится после рентгенограммы, где оценивается место и тяжесть перелома корня.
Терапия
Если речь идет о молочном зубе, то при переломе корня чаще всего его удаляют. Когда ломается верхушка корня постоянного костного образования, которая приводит к развитию периодонтита, необходимо удалить саму верхнюю часть, канал запломбировать и устранить возможные воспалительные процессы. Если воспаления не происходит, удалять верхушку нет необходимости.
Если переламывается середина корня, производят пломбирование канала и установку штифтовой коронки, когда происходит омертвление соединительного канала. Если пульпа сохраняет свою функциональность, требуется обеспечить полный покой зуба, исключить давление на него. В последующие полгода следует регулярно посещать стоматолога, чтобы наблюдать за состоянием поврежденных зубов и проводить необходимое лечение. В случае диагностирования оскольчатого или продольного перелома, следует обязательно удалить пострадавший зуб.
Комбинированное повреждение
Подразумевает сразу несколько видом травм, например:
В зависимости от установленного диагноза, назначается тот или иной вид лечения.


группа Вконтакте
канал в Телеграм

Клиника уровня «Эксперт», взрослое отделение
Детское отделения
Центр экспертной ортодонтии и цифровой стоматологии
Клиника экстренной помощи