Имплантация зубов All on 4
Метод имплантации зубов All-on-4 – потрясающая возможность в кратчайшее время вернуть здоровую эстетичную улыбку при полном отсутствии зубов на верхней или нижней челюсти.
Возможность жевать пищу естественным путем, красиво улыбаться и вести социальную жизнь без ограничений поднимает уровень жизни на новую высоту, повышает уверенность в себе и устраняет комплексы из-за плохих зубов. При этом вам не понадобится установка имплантов на все утраченные зубы, как в стандартных технологиях имплантации, а достаточно всего 4 опор, что существенно уменьшает стоимость процедуры и упрощает ее процесс. При частичном отсутствии зубов часто целесообразно удалить оставшиеся неэффективные зубы и применить данную методику.
После качественной подготовки применяется одноэтапный протокол: всего за 1 день в костные ткани устанавливают 4 импланта, а через 2-3 дня - временный несъемный протез из 12 коронок.
Проходит несколько дней, и пациент начинает ощущать искусственные зубы, как естественные. Постоянный протез ставится после полной остеоинтеграции имплантов, сроки варьируются от полугода до 3 лет.
Имплантация зубов «Все на 4»
Методика опробована в различных частях света, и при полной адентии является настоящим спасением для людей, которые хотят ощущать себя молодыми, красивыми, полноценными.
Стоматологическая клиника «Интердентос» в Королеве приглашает пациентов вернуть комфорт и уверенность, установив искусственные зубы по методике имплантации зубов All-on-4. Вы можете быть уверены в эффективности установки имплантов и коронок в нашей клинике, ведь у нас есть все, чтобы вам помогать – качественная аппаратура, обученные профессионалы с опытом, технологии и материалы.
Пусть ваша улыбка радует вас и окружающих, при этом вы сможете принимать пищу без ограничений и разговаривать с правильной дикцией.
Узнать о процессе и стоимости имплантации зубов «Все на 4» вы сможете на бесплатной консультации. Запишитесь на осмотр прямо сейчас по нашим телефонам или через мессенджеры!
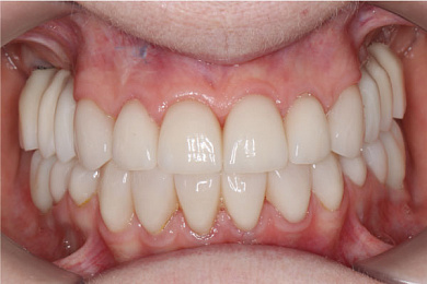
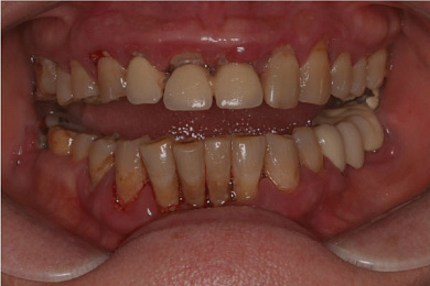
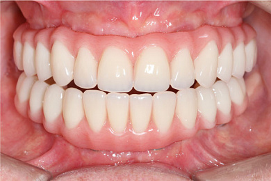
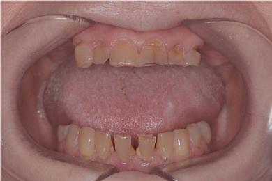
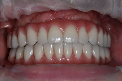
Имплантация All on 4: фото До и После
Врач: Лыков Андрей Сергеевич
Врач: Лыков Андрей Сергеевич
Врач: Есаян Андраник Суренович
Врач: Павлов Михаил Алексеевич
Врач: Павлов Михаил Алексеевич
Врач: Павлов Михаил Алексеевич
Врачи имплантологи
Цены на имплантацию All on 4
Наши лицензии:
О технологии имплантация зубов All-on-4
Корпорация «Nobel Biocare», разработавшая эту великолепную методику для челюсти с полной адентией, представила ее около 30 лет назад. В мировой стоматологии она была воспринята как лучшее решение восстановления сразу всех зубов челюсти буквально за три дня. Более двадцати лет научных исследований и испытаний привели к созданию логичных и эффективных протоколов имплантации, позволяющим решать сложные задачи, которые до этого решить было невозможно.
Покрытие имплантов и их конструкция отличаются от классических единичных имплантов.
Два искусственных титановых корня вводятся в челюсти прямо, а два других - со стороны жевательных зубов, под углом. Таким образом площадь соприкосновения имплантом с костными тканями больше, и даже при атрофии средней и начальной стадии имплантаты надежно удерживаются в кости, а вся конструкция становится долговечной, устойчивой, прочной.
Несъемный протез получает возможность максимально устойчиво переносить нагрузки с равномерным распределением на каждую единицу. В дальнейшем компания продолжила разработки и усилила эффект для людей с широкой челюстью, добавив в зубные ряды 2 или 4 импланта (методики «Все на 6», «Все на 8»), но основой все рано остается имплантация по протоколу имплантации зубов «All-on-4».
Дополнительные плюсы методики – сокращение периода реабилитации. Одномоментная имплантация и протезирование временными коронками проводится на 3 день, и уже с этого момента пациент может забыть об эстетических проблемах. Затем устанавливается постоянный протез.
Схожие методики базальной имплантации применила компания ROOTT, а позже и она представила свою усовершенствованную методику протезирования зубов All on 4 ROOTT. Если рассмотреть эти методики подробнее, можно отметить различия.
Преимущества и недостатки метода ALL ON 4
Альтернативными видами лечения при отсутствии всех зубов является классическая имплантация зубов и съемное протезирование с установкой съемной зубной челюсти.
Преимущества:
- Одноэтапный протокол предусматривает установку протезов сразу, в тот же прием или на третий день.
- Конструкция не менее устойчива, чем при классической имплантации и намного комфортнее, чем съемные протезы.
- Нет необходимости разрезать десну и рассекать лоскуты. Малоинвазивные методики позволяют устанавливать штифты через прокол костной ткани.
- Зубные ряды выглядят эстетично, практически неотличимы от естественных зубов.
- Имплантация «Все на 4» гораздо дешевле установки имплантов и протезов на все зубы.
Минусы
Зубы невозможно восстановить при хроническом воспалении десен, выраженной атрофии полости рта. Протез ограничен 12 зубами. При выборе методик необходимо учитывать ограничения, к тому же методики дорогие.
Показания/противопоказания
Протезирование зубов на четырех имплантах может применяться:
- При полной адентии, если костные ткани еще имеют возможность удерживать искусственные корни.
- При наличии одной или нескольких единиц, где уже неэффективно лечение зубов. Их лучше удалить, поставить надежную систему протезирования «All-on-4».
- Если частичном отсутствии зубов установлен протез съемный, и появилась возможность заменить его на несъемные протезы.
- Когда при проведении частичной имплантации зубов ненадежные единицы вышли из строя и их нужно удалить.
- Если есть противопоказания к ношению съемных протезов.
Противопоказания
- Болезнь свертываемости крови;
- Заболевания десен в активной стадии;
- Злокачественные опухоли в стадии роста;
- Обострение сердечно-сосудистых заболеваний;
- Психические отклонения, осложняющие коммуникации;
- Беременность, грудное вскармливание;
- Декомпенсированные формы сахарного диабета.
Этапы установки протезов методом «All-on-4»
Любой процесс восстановления зубов начинается с консультации и обсуждения метода. Доктор дает всю информацию по методике, расскажет какие импланты мы предлагаем установить, сколько времени проходит от начала до конца процедуры. Заключается договор с клиникой.
- Диагностический этап. Проводится обследование зубного ряда и десен, осмотры, пациент сдает нужные анализы, проходит МРТ, панорамный снимок, рентген. Определяется возможность установки 4 имплантов и протезирования.
- Составляется план лечения зубов и восстановление челюсти. Выбираются материалы, просчитывается конечная стоимость.
- Ортопед стоматолог снимает слепки и передает в зуботехническую лабораторию. Составляется фотопротокол имплантации.
- Прием. Вводится анестезия. Десна прокалывается и вставляется титановый штифт. Фиксируется протез (сразу или на третий день). Если протезирование проводится не сразу, ставятся временные заглушки.
- Пациент приходит на прием в назначенное время для проверки правильности процесса остеоинтеграции.
- После его завершения искусственные коронки заменяют постоянными. Для этого также выполняют слепки и изготавливают коронки, с учетом изменения прикуса. Материалами изготовления являются металлокерамика, керамика, диоксид циркония.
Какие импланты применяются в нашей клинике
Мы применяем импланты, обеспечивающие первичную стабильность протеза, быструю остеоинтеграцию, долговечность и устойчивость. Во многих случаях по плану лечения имплант остается у пациента пожизненно, а коронку можно заменить согласно степени износа. Чаще всего, это импланты премиум класса, которая отвечает всем параметрам системы ROOTT и Nobel Biocare.
Современные импланты можно применять даже при некоторых патологиях корня зуба.
Установка коронки бывает одномоментная или отсроченная, по показаниям пациента. Благодаря современным технологиям и малоинвазивным методам установки штифтов, пациент получает возможность значительно уменьшить срок реабилитации, что позволяет перейти к нормальному образу жизни сразу после проведения имплантации «All-on-4». Также при использовании современных методик перечень противопоказаний снижается к минимуму. Эстетичный вид и возможность нормально жевать пищу доступен сразу же после имплантации и закрепления временных коронок.
Как ухаживать за протезами
Уход после имплантации заключается в бережном отношении к зубам, правильном распределении нагрузки, исключении перегрузок при жевании.
Воспользуйтесь рекомендациями врача по уходовым процедурам в первые 5-7 дней, и успешное заживление будет обеспечено.
В первые дни:
- Принимайте мягкую пищу;
- Исключите слишком горячие и слишком холодные блюда;
- Не давайте зубным рядам полной нагрузки, жуйте медленно и аккуратно;
- Посещайте стоматолога в назначенные сроки для контроля несъемного протеза;
- В нормальной диете и твердой пище возвращайтесь постепенно;
- Откажитесь на период реабилитации от курения и употребления алкоголя.
Мы предлагаем выгодные и точные цены, в которых заложены уже стоимость последующих контрольных приемов.
Чтобы узнать дополнительную информацию о методе имплантации и протезирования «All-on-4», звоните для консультации. Наша современная стоматологи «Интердентос» в Королеве является высокотехнологичным центром, где решаются абсолютно любые задачи с верхними и нижними зубами.
Отзывы наших пациентов:



группа Вконтакте
канал в Телеграм








Клиника уровня «Эксперт», взрослое отделение
Детское отделения
Центр экспертной ортодонтии и цифровой стоматологии
Клиника экстренной помощи