Элайнеры для выравнивания зубов
Элайнеры — прозрачные капы, которые сделают ваши зубы идеально ровными без боли и использования неэстетичных брекетов. Это самый современный и востребованный способ коррекции прикуса. Элайнеры для зубов показывают отличный результат при ортодонтических патологиях легкой и средней степени тяжести. В стоматологической клинике «Интердентос» для выравнивания зубного ряда применяют 3 вида элайнеров от известных фирм: Star Smile (Россия), Invisalign (США), 3D Smile (Россия).
Основные преимущества
Исправление прикуса элайнерами — комфортная альтернатива брекетам и возможность получить красивую улыбку в любом возрасте по приемлемой цене. Ортодонтические капы широко применяются в стоматологии, поскольку они:
- Комфортные. Изделия тонкие и гладкие, плотно прилегают к эмали, не вызывают раздражение слизистых оболочек ротовой полости.
- Безболезненные. Аккуратное и постепенное перемещение зубов не вызывает боли даже у чувствительных людей.
- Незаметные. Невидимые прозрачные конструкции позволяют вести активную социальную жизнь и не стесняться общения с людьми.
- Простые в уходе. Для чистки элайнеров достаточно обычной зубной пасты и щетки. Вам не нужно покупать дорогостоящие ершики и другие специальные приспособления.
- Эффективные. Выравнивание зубов капами с большим успехом используется у пациентов разного возраста, к тому же результат лечения известен заранее благодаря системе 3D моделей.
Еще один важный момент — коррекция прикуса проходит без существенных ограничений и изменения образа жизни. В отличие от программы лечения брекетами, вам не придется отказываться от любимых продуктов, а домашняя гигиена ротовой полости не вызовет никаких трудностей.
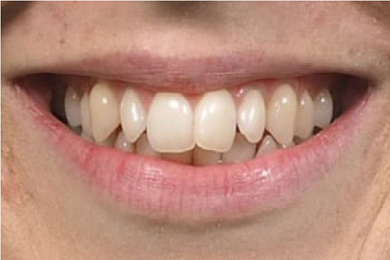
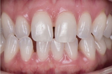
Примеры лечения зубов:
Врачи направления:
Цена элайнеров для выравнивания зубов
Наши лицензии:
Что нужно знать о выравнивании зубов элайнерами
Как работают элайнеры
Элайнеры представляют собой съемные ортодонтические капы, которые изготавливаются по оттискам зубного ряда пациента. Их делают из прозрачного термопластичного полимера SmartTrack, который имеет полную биосовместимость с тканями организма и не вызывает аллергических реакций.
Благодаря особой форме элайнеры оказывают давление на зубы с правильной силой и в нужном направлении, что позволяет постепенно сдвигать их и выравнивать прикус. Этот процесс происходит гармонично по всему зубному ряду. Каждый следующий комплект немного отличается по форме и размеру от предыдущего, чтобы исправление положения зубов было постепенным, щадящим и непрерывным.
С помощью элайнеров перемещаются не только видимые части (коронки), но и корни зубов, которые создают стабильное давление на стенку костной лунки. Вследствие этого выемки в челюстной кости меняют свою форму, а зубные единицы занимают правильное положение и остаются в покое. Затем начинается процесс регенерации и закрепления эффекта.
Этапы лечения
- Диагностика. Сначала нужно посетить консультацию ортодонта, который осмотрит полость рта, назначит ортопантомограмму и другие исследования, сделает оттиски. Для подбора элайнеров используются современные 3D технологии: вы увидите анимированную модель исправления зубного ряда и узнаете, какое количество времени потребуется для достижения идеальной улыбки.
- Этап выравнивания зубов. Вы получаете несколько индивидуальных наборов кап, которые нужно менять через 2 недели. Каждые 6-8 недель планируют контрольные визиты к ортодонту: врач оценивает, насколько эффективно проходит лечение элайнерами, и выдает новые комплекты.
- Ретенционный этап. После достижения красивой улыбки нужно закрепить полученный результат, чтобы зубные корни зафиксировались на новом месте. Для этого используют несъемные ретейнеры на нижний зубной ряд и прозрачные ночные пластины для верхних зубов. Длительность ретенционного периода в среднем в 2 раза больше, чем срок ношения элайнеров.
Кому подходит лечение элайнерами
Элайнеры применяются для взрослых людей любого возраста и для подростков старше 14 лет. У младших детей капы не используют, поскольку у них продолжается активный рост челюсти, и подобное лечение будет затруднено.
Установка элайнеров рекомендуется пациентам с такими дефектами:
- скученность зубов;
- широкие межзубные промежутки;
- наклон или неправильное положение одного или нескольких зубов в ряду;
- незначительные аномалии мезиального, дистального, открытого, перекрестного, глубокого прикуса.
Нужно учитывать, что при множественных и сложных аномалиях зубочелюстного аппарата капы не смогут выровнять улыбку. В такой ситуации ортодонт сначала подбирает брекет-систему для коррекции основных дефектов, а затем может назначить элайнеры, которые помогают закрепить результат.
Других строгих противопоказаний к лечению нет. Большинство ограничений имеет временный характер: острые заболевания полости рта, требующие консервативной терапии, непрорезавшиеся зубы, которые нужно будет удалить перед снятием оттисков и изготовлением кап.
Начните свой путь к красивой улыбке прямо сейчас — запишитесь на консультацию стоматолога-ортодонта для диагностики и подбора методов коррекции зубного ряда. На приеме вы узнаете, сколько стоят элайнеры для выравнивания зубов, и сможете задать любые интересующие вас вопросы.
Вопросы и ответы
Сколько времени занимает лечение?
Срок ношения кап зависит от исходного состояния зубного ряда, типа аномалий прикуса и скорости их исправления. Каждый случай индивидуален, поэтому точный ответ стоматолог сможет дать после консультации. Минимальный период лечения занимает 6 месяцев — это намного меньше, чем при использовании брекет-систем, которые придется носить 1-3 года.
Сколько кап потребуется для выравнивания зубов?
При небольшой скученности зубов необходимо 8-10 комплектов элайнеров, каждый из которых используют в течение 2 недель. При значительных ортодонтических аномалиях может потребоваться 20-30 наборов. От их количества зависит итоговая стоимость лечения.
Можно ли снимать элайнеры?
Элайнеры для выравнивания зубов должны оказывать постоянное давление, поэтому их нужно носить не менее 20-22 часов в день. Капы снимают на время приема пищи и для проведения гигиены полости рта, а затем сразу же надевают обратно. Привыкнуть к элайнерам намного проще, чем к брекетам, к тому же они не травмируют эмаль зубов и слизистые оболочки. Постоянное использование ортодонтических конструкций не вызывает дискомфорта у большинства пациентов.
Можно поставить элайнеры только на одну челюсть?
Да, в некоторых ситуациях такой способ лечения будет эффективным. Обычно его назначают, когда один зубной ряд у пациента идеально ровный, а в другом присутствует небольшая скученность зубов.


группа Вконтакте
канал в Телеграм





Клиника уровня «Эксперт», взрослое отделение
Детское отделения
Центр экспертной ортодонтии и цифровой стоматологии
Клиника экстренной помощи