Ткаченко Никита Васильевич
Филиалы: Клиника на Космонавтов, 11, Клиника в г. Щелково, Клиника в г. Мытищи, ул. Лëтная
Стаж (лет): 23
Специализация: терапевтическая и ортопедическая стоматология
Учебное заведение: Московский государственный медико-стоматологический университет, ДВС 0701818, рег.№ 215, стоматология, 2001г. / Проф.переподгатовка, 14 035942, рег.№ 953, Институт повышения квалификации, стоматология хирургическая, 2015 / Повышение квалификации, Институт повышения квалификации, рег.№ 67624, стоматология терапевтическая,2013
Интернатура, ординатура: Ординатура: 2003г. - Московский областной научно-исследовательский клинический Институт им. М.Ф. Владимирского (МОНИКИ), стоматология-терапевтическая, ДВС 0701818
Дополнительное образование:
Член Чешской стоматологической ассоциации врачей-стоматологов с 2010 года.
2001 г. - Врач-ординатор кафедры ЧЛХ и стоматологии ФУВ
2002 г. - Врач-ординатор кафедры терапевтической стоматологии ФУВ
2006 г. - ЦНИИС, г.Москва “Современные аспекты эндодонтического лечения”.
2007 г. - 3М ESPE, г.Москва “Конференция по терапевтической стоматологии”.
2012 г. - Чехия, г.Прага “Ортодонтия: Смена зубов у детей - диагностические аспекты”.
2012 г. - Чехия, г.Прага “Лечение пациентов пенсионного возраста. Ортопедическая стоматология”.
2012 г. - Чехия, г. Оломоуц, кафедра стоматологии факультетской клиники при Университете Палацкого в г.Оломоуц “Стаж в пародонтологии”.
2012 г. - Чехия, г.Пльзень, кафедра стоматологии факультетской клиники при Университете при Карловом Университете в г.Пльзень “Детская Стоматология. Аномалии развития зубов и твердых тканей зубов.”
2019 - "Оказание неотложной помощи в экстренной ситуации на стоматологическом приеме" DMA
Сертификаты
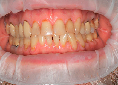
Примеры работ:
Отзывы наших пациентов:
Хотел бы также поблагодарить за проделанную работу весь медицинский персонал и руководство клиники Интердентос в Щелково. Дополнительно скажу, что мне была сделана ощутимая скидка на стоимость услуг клиники (как практикующему врачу), и сейчас в процессе оформления карта лояльности от клиники для меня и моей семьи. Спасибо ещё раз!
Я страдала очень сильной стираемостью зубов и все зубы уже были в пломбах...
После многочисленных консультаций было принято решение о полном протезировании.
Спасибо Лобачёвой Марии Сергеевне!
Провела качественное лечение под микроскопом и спасла зуб от удаления.
Спасибо Макухе Василию Александровичу!
Произвел безболезненное одномоментное удаление двух зубов и установку имплантов. Благодаря качественно проделанной работе, все быстро зажило и импланты прижились без каких-либо осложнений.
Спасибо Ткаченко Никите Васильевичу за безукоризненную работу! Подготовил все зубки не спиливая лишнего, зубы остались живыми. Очень внимательно и качественно делал все слепки, установил коронки и виниры. Объяснял все нюансы, доходчиво доносил информацию. При необходимости жертвовал своим личным временем выходя на дополнительную смену.
Также огромное спасибо медсестрам, благодаря им работа идет быстрее и легче!
И огромная благодарность административному персоналу! Помогли оформить скидку, всегда оставались на связи и шли навстречу когда надо было подобрать более удобное время или что-то изменить.
Лечимся там всей семьей и очень довольны, что выбрали данную клинику! Атмосфера в клинике всегда очень дружелюбная и самое важное работают НАСТОЯЩИЕ ПРОФЕССИОНАЛЫ СВОЕГО ДЕЛА!
Удачи Вам!
Ткаченко Никита Васильевич - блестящий специалист!!! Мастер высочайшего класса!
Клиника уровня «Эксперт», взрослое отделение
Детское отделения
Центр экспертной ортодонтии и цифровой стоматологии
Клиника экстренной помощи