Ежедневно с 8:00 до 21:00

+7 (495) 324-50-50

пр. Космонавтов, д.11

+7 (495) 151-88-18

Детское отделение

+7 (495) 989-00-48

пр. Космонавтов, д.37

+7 (495) 156-20-30

ул. Терешковой, д.8

+7 (495) 104-42-00

отдел качества

+7 (495) 801-68-68

Общий телефон

+7 (495) 324-50-50

пр. Космонавтов, д.11

+7 (495) 151-88-18

Детское отделение

+7 (495) 989-00-48

пр. Космонавтов, д.37

+7 (495) 156-20-30

ул. Терешковой, д.8

+7 (495) 104-42-00

отдел качества

Ежедневно с 8:00 до 21:00

Взрослая стоматология
Детская стоматология
+7 (495) 801-68-68

Общий телефон

+7 (495) 324-50-50

пр. Космонавтов, д.11

+7 (495) 151-88-18

Детское отделение

+7 (495) 989-00-48

пр. Космонавтов, д.37

+7 (495) 156-20-30

ул. Терешковой, д.8

+7 (495) 104-42-00

отдел качества

Взрослая стоматология
Детская стоматология

Стоматолог

Быкова Евгения Борисовна

  • Эксперт в сложной эндодонтии (нестандартная анатомия, перелечивание корневых канал)
  • Специалист реабилитация полости рта с использованием Cerec.
  • Цифровое планирование и диагностика полости рта
Быкова Евгения Борисовна
Евгения Борисовна - настоящий профессионал своего дела, врач-эксперт медицинского центра и главный врач Клиники 11. За 23 года профессионального стажа она успела пройти путь от начинающего врача до наставника, который выпустил не одно поколение талантливых молодых специалистов. В 2021 доктор проходила стажировку в Израиле.

В течение 14 лет работы в медицинском центре, доктор Евгения Борисовна стала символом профессионализма и заботы о своих пациентах. Она специализируется на лечении всех видов кариеса, проводит лечение корневых каналов любой сложности с применением микроскопа, а также занимается эстетическим восстановлением зубов и микропротезированием с использованием инновационной Церек технологии.

Служа наставником для молодых специалистов, доктор Евгения Борисовна активно курирует пациентов клиники со сложными клиническими случаями, непрерывно демонстрируя свое высокое профессиональное мастерство. Ее уникальный подход к лечению и внимание к каждому пациенту сделали ее одним из самых рекомендуемых врачей в медицинском центре.

К этому доктору направляют пациентов из других клиник с нестандартными случаями, понимая, что в ее руках любая проблема найдет свое решение. Уверенность, профессионализм и забота - вот то, что делает доктора Евгению Борисовну незаменимым специалистом медицинского центра.

Стаж работы

20

Принимает клиниках

  • пр. Космонавтов, 11

Специализация

  • Стоматолог

Сертификаты

352
353
354
355
356
357
358
359
360
361
362

Отзывы по врачу

Читать все отзывы

Врач: Быкова Евгения Борисовна

Евгения Борисовна - это врач, к которому хочется возвращаться. Профессионализм на высоте, всегда в курсе новых методик, и что важно - человеческое отношение. После её лечения зубы выглядят и чувствуют себя намного лучше. Очень благодарна!...
Евгения Борисовна - это врач, к которому хочется возвращаться. Профессионализм на высоте, всегда в курсе новых методик, и что важно - человеческое отношение. После её лечения зубы выглядят и чувствуют себя намного лучше. Очень благодарна!
Показать весь отзыв

Врач: Быкова Евгения Борисовна

Был на приёме у Евгении Борисовны по рекомендации друга. Очень понравилось, что она не навязывает лишние процедуры, а действительно предлагает то, что нужно. Внимательная, компетентная, и к тому же всегда в хорошем настроении. Спасибо за отличную раб...
Был на приёме у Евгении Борисовны по рекомендации друга. Очень понравилось, что она не навязывает лишние процедуры, а действительно предлагает то, что нужно. Внимательная, компетентная, и к тому же всегда в хорошем настроении. Спасибо за отличную работу!
Показать весь отзыв

Врач: Быкова Евгения Борисовна

Моя дочь боялась стоматологов, но Евгения Борисовна сумела её успокоить и провести лечение без слёз. Её подход к детям просто восхитителен. Теперь мы ходим только к ней, и моя дочь уже не боится визитов к врачу....
Моя дочь боялась стоматологов, но Евгения Борисовна сумела её успокоить и провести лечение без слёз. Её подход к детям просто восхитителен. Теперь мы ходим только к ней, и моя дочь уже не боится визитов к врачу.
Показать весь отзыв

Врач: Быкова Евгения Борисовна

Обращался к Евгении Борисовне с проблемой, которая меня беспокоила годами. Она не только быстро нашла решение, но и провела процедуру без боли и дискомфорта. Удивительно, как можно так бережно относиться к пациентам. Рекомендую!...
Обращался к Евгении Борисовне с проблемой, которая меня беспокоила годами. Она не только быстро нашла решение, но и провела процедуру без боли и дискомфорта. Удивительно, как можно так бережно относиться к пациентам. Рекомендую!
Показать весь отзыв

Врач: Быкова Евгения Борисовна

Евгения Борисовна - настоящий профессионал! После консультации у неё я почувствовала себя увереннее в выборе лечения. Она внимательно выслушала, объяснила всё доступно и даже предложила несколько вариантов. Спасибо за заботу и профессионализм!...
Евгения Борисовна - настоящий профессионал! После консультации у неё я почувствовала себя увереннее в выборе лечения. Она внимательно выслушала, объяснила всё доступно и даже предложила несколько вариантов. Спасибо за заботу и профессионализм!
Показать весь отзыв

Врач: Быкова Евгения Борисовна

Благодарю Евгению Борисовну за высокий профессионализм при пломбировке и восстановлении зубов. Также она сыну восстановила сломанный передний зуб, который держится уже более 5 лет! Спасибо за ее прекрасное понимание пациента, бережное и уваж...

<p>Благодарю Евгению Борисовну за высокий профессионализм при пломбировке и восстановлении зубов. Также она сыну восстановила сломанный передний зуб, который держится уже более 5 лет! Спасибо за ее прекрасное понимание пациента, бережное и уважительное отношение. Очень рекомендую обращаться по самым сложным вопросам. С глубоким уважением к врачу , Вадим.
</p>
Показать весь отзыв

Врач: Быкова Евгения Борисовна

Добрый день! Большое спасибо за профессионализм и индивидуальный подход. Очень довольна результатом лечения, желанием помочь и отношением к пациентам и своей профессии. Буду рекомендовать своим близким и знакомым.

Спасибо Быковой Евге...
Добрый день! Большое спасибо за профессионализм и индивидуальный подход. Очень довольна результатом лечения, желанием помочь и отношением к пациентам и своей профессии. Буду рекомендовать своим близким и знакомым.<br>
Спасибо Быковой Евгении Борисовне и всему персоналу клиники за вежливое обслуживание!
Показать весь отзыв

Работы врача

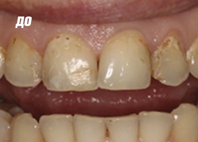
Фото ДО
Фото ПОСЛЕ

Наведите для просмотра

Реставрация фронтальной группы зубов

Фото ДО
Фото ПОСЛЕ

Наведите для просмотра

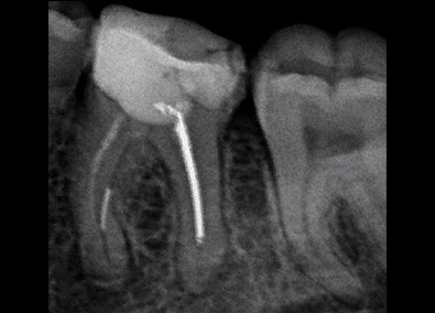
Лечение каналов зуба

Фото ДО
Фото ПОСЛЕ

Наведите для просмотра

Реставрация фронтальной группы зубов

Клиники, в которых принимает специалист

Клиника «Эксперт»

Консилиум врачей в подарок Получить подарок