Ежедневно с 8:00 до 21:00

+7 (495) 324-50-50

пр. Космонавтов, д.11

+7 (495) 151-88-18

Детское отделение

+7 (495) 989-00-48

пр. Космонавтов, д.37

+7 (495) 156-20-30

ул. Терешковой, д.8

+7 (495) 104-42-00

отдел качества

+7 (495) 801-68-68

Общий телефон

+7 (495) 324-50-50

пр. Космонавтов, д.11

+7 (495) 151-88-18

Детское отделение

+7 (495) 989-00-48

пр. Космонавтов, д.37

+7 (495) 156-20-30

ул. Терешковой, д.8

+7 (495) 104-42-00

отдел качества

Ежедневно с 8:00 до 21:00

Взрослая стоматология
Детская стоматология
+7 (495) 801-68-68

Общий телефон

+7 (495) 324-50-50

пр. Космонавтов, д.11

+7 (495) 151-88-18

Детское отделение

+7 (495) 989-00-48

пр. Космонавтов, д.37

+7 (495) 156-20-30

ул. Терешковой, д.8

+7 (495) 104-42-00

отдел качества

Взрослая стоматология
Детская стоматология

Лечение периодонтита

Для лечения периодонтита без удаления зуба наиболее важно провести качественное эндодонтическое лечение, а также провести адекватную оценку поражения тканей. Нередки случаи, когда в пораженных тканях присутствуют гранулемы и кисты. В зависимости от степени тяжести, такое лечение требует комплексного подхода и тщательного планирования, обычно такое лечение разбивается на этапы и выполняется в несколько посещений.
9 клиник

9 клиник

В 5 городах подмосковья:
Королёв, Мытищи, Щёлково, Пушкино и Балашиха.
с 1998 года

с 1998 года

Многолетний накопленный опыт и собственная научная база позволяет решать даже самые сложные случаи
250 тысяч пациентов

250 тысяч пациентов

Доверили нам своё здоровье.
80% из них
— пришли к нам по рекомендациям
-0

Что такое периодонтит?

Это острое воспаление верхушек корней зуба и прилегающих тканей. Чаще всего сопровождается болью, отёчностью. Такое состояние опасно тем, что при периодонтите воспаляются также связки, удерживающие зуб, без своевременного и правильного лечения это чревато потерей зуба.

Одни из основным симптомов: боль при давлении, отёк, ощущение, что зуб стал "длиннее". Однако в некоторых случаях явной острой боли может не быть, либо она появляется эпизодически. В таком случае, можно говорить о "хроническом периодонтите" - чрезвычайно опасном осложнении, требующего ещё более тщательного лечения и наблюдения.

Быстрая запись на приём

Оставьте номер телефона и администратор перезвонит Вам в течение 5 минут.

img

Спасибо!

Наши специалисты свяжутся с вами в ближайшее время.

Ежедневно с 8:00 до 21:00

+7 (495) 801-68-68

Общий телефон

+7 (495) 324-50-50

пр. Космонавтов, д.11

+7 (495) 151-88-18

Детское отделение

+7 (495) 989-00-48

пр. Космонавтов, д.37

+7 (495) 156-20-30

ул. Терешковой, д.8

+7 (495) 104-42-00

отдел качества

Врачи направления

Все врачи

Наше оборудование

CEREC - технология художественной реставрации зубов за 2 часа

CEREC - технология художественной реставрации зубов за 2 часа

CAD/CAM система CEREC позволяет проводить лечение и протезирование зубов быстро и с высокой точностью – благодаря специальному сканеру, воспроизводящему модель зуба в 3D. CEREC Omnicam, MEDIT  i700,  PrimeScan.
Дентальный микроскоп

Дентальный микроскоп

Использование ультрасовременных дентальных микроскопов создает уникальные возможности для спасения «безнадежных зубов». Микроскопы:  Advanced,  Karl Kaps,  Carl Zeiss EXTARO 300, Prima D с вариоскопом.
3D томограф Galileos

3D томограф Galileos

Охватывает всю зубочелюстную систему, включая пазухи. А благодаря 3D-моделированию аппарат  позволяет повысить диагностическую точность и виртуально спланировать наиболее эффективное лечение.
Дентальный компьютерный томограф Planmeca ProMax

Дентальный компьютерный томограф Planmeca ProMax

Уникальный компьютерный томограф для качественной диагностики  и планирования лечения
Sleeper One - электронная система анестезии

Sleeper One - электронная система анестезии

Система анестезии нового поколения, объём, скорость и давление подачи препарата контролируется электронной системой. Специальные иглы обеспечивают безболезненность и снижают травматичность тканей.
ICON - лечение кариеса без препарирования

ICON - лечение кариеса без препарирования

ICON - специальный препарат в виде геля, который наносится на участок зуба и глубоко проникает в его ткани, уничтожая кариозные образования и укрепляя ткани зуба.
SAF - революция в лечении зубных каналов

SAF - революция в лечении зубных каналов

Самоадаптирующийся файл из сплава никеля и титана - эффективен в самых сложных случаях лечения каналов, максимально сохраняет здоровые ткани и форму каналов.
Стоматологическая установка DENTSPLY SIRONA

Стоматологическая установка DENTSPLY SIRONA

Признаны стоматологами во всём мире, как наиболее совершенные и комфортные, обладающие передовыми характеристиками. Обладают наградами iF Design Gold Award и German Design Award.

Цены на лечение периодонтита

Все цены

Наши работы

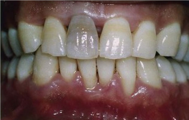
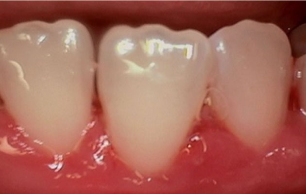
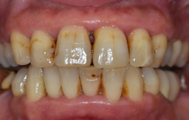
Фото ДО
Фото ПОСЛЕ

Наведите для просмотра

Лечение периодонтита

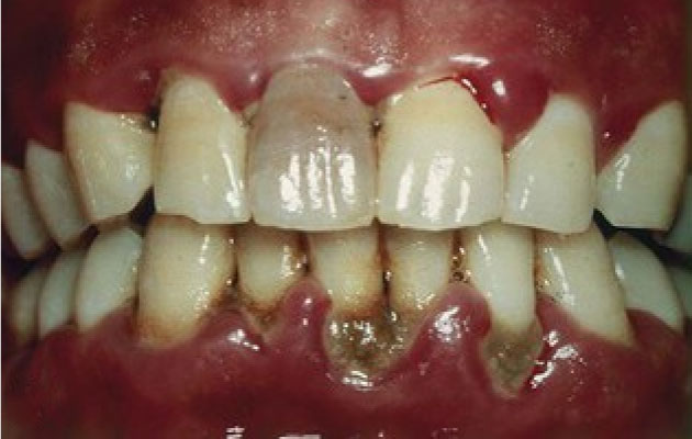
Фото ДО
Фото ПОСЛЕ

Наведите для просмотра

Лечение периодонтита

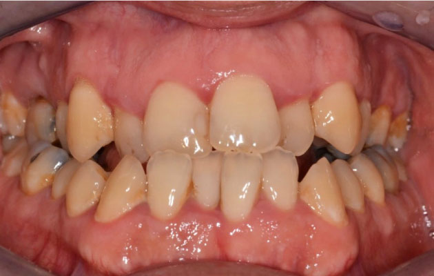
Фото ДО
Фото ПОСЛЕ

Наведите для просмотра

Лечение периодонтита

Наши клиники

Детское отделение

Клиника «Эксперт»

Центр экспертной ортодонтии и цифровой стоматологии

Клиника экстренной помощи

Наши лицензии

Лечение проводится на основании действующих медицинских лицензий Л041-01162-50/00360420 и Л041-01162-50/00367813. Это гарантирует, что все процедуры — от диагностики до реставрации — выполняются безопасно, с использованием сертифицированных материалов и оборудования, в строгом соответствии с российскими стандартами.

Л041-01162-50/00360420 Л041-01162-50/00360420

Открыть PDF
Л041-01162-50/00367813-1 Л041-01162-50/00367813

Л041-01162-50/00367813-2 Л041-01162-50/00367813

Л041-01162-50/00367813-3 Л041-01162-50/00367813

Л041-01162-50/00367813-4 Л041-01162-50/00367813

Л041-01162-50/00367813-5 Л041-01162-50/00367813

Л041-01162-50/00367813-6 Л041-01162-50/00367813

Л041-01162-50/00367813-7 Л041-01162-50/00367813

Л041-01162-50/00367813-8 Л041-01162-50/00367813

Л041-01162-50/00367813 Л041-01162-50/00367813

Открыть PDF

Виды периодонтитов

Острый периодонтит — основные признаки, это остралья боль, возможно опухание щеки, область вокруг зуба практически всегда опухает и воспалена. Возможно некоторая подвижность зуба или ощущение его "инородности".

Хронический периодонтит - может протекать без явных симптомов, а острая боль появляется эпизодически. Это наиболее тяжелая и неприятная форма заболевания, которые может отражаться на всём организме, чаще её сопутствует ещё и сниженный общий имунитет. Требует комплексного лечения и наблюдения.

Хронические периодонтиты делятся на:

Фиброзный. Начальная стадия, имеет редкие болевые симптомы, при этом со стороны окружающий тканей видимых изменений может не быть. Правильно определить диагноз поможет ретгеновский снимок.
Гранулирующий. При этой стадии может наблюдаться гиперемия десны, при надавливании инструментов возникает углубление, которые исчезает не сразу. Возможны гнойные выделения. Также ренгтегонвский снимок, как правильно показывает явное очаг разрежений кости в области верхушки корней, с нечеткими контурами.

Гранулематозный. Болевой синдром может отсутствовать и напоминать только во время еды. Однако, часто зуб начинает менять цвет, выпадают предыдущие пломбы. Может выявлятся "неожиданно", во время снимка. Обострение гранулематозного периодонтита сопровождается острой болью при любом прикосновении к зубу, может появится свищ, если не начать своевременное лечение, то зуб спасти будет невозможно.

Консилиум врачей в подарок Получить подарок