Ежедневно с 8:00 до 21:00

+7 (495) 324-50-50

пр. Космонавтов, д.11

+7 (495) 151-88-18

Детское отделение

+7 (495) 989-00-48

пр. Космонавтов, д.37

+7 (495) 156-20-30

ул. Терешковой, д.8

+7 (495) 104-42-00

отдел качества

+7 (495) 801-68-68

Общий телефон

+7 (495) 324-50-50

пр. Космонавтов, д.11

+7 (495) 151-88-18

Детское отделение

+7 (495) 989-00-48

пр. Космонавтов, д.37

+7 (495) 156-20-30

ул. Терешковой, д.8

+7 (495) 104-42-00

отдел качества

Ежедневно с 8:00 до 21:00

Взрослая стоматология
Детская стоматология
+7 (495) 801-68-68

Общий телефон

+7 (495) 324-50-50

пр. Космонавтов, д.11

+7 (495) 151-88-18

Детское отделение

+7 (495) 989-00-48

пр. Космонавтов, д.37

+7 (495) 156-20-30

ул. Терешковой, д.8

+7 (495) 104-42-00

отдел качества

Взрослая стоматология
Детская стоматология

Лечение зубов детям

В детской стоматологии «Интердентос» мы используем передовые технологии, а наши детские стоматологи всегда работают с индивидуальным подходом к каждому ребенку, превращая каждый визит в увлекательное приключение, без страха и слез. Мы заботимся о здоровье зубов вашего ребенка с самого раннего возраста, закладывая основу для красивой улыбки на всю жизнь

9 клиник

9 клиник

В 5 городах подмосковья:
Королёв, Мытищи, Щёлково, Пушкино и Балашиха.
с 1998 года

с 1998 года

Многолетний накопленный опыт и собственная научная база позволяет решать даже самые сложные случаи
250 тысяч пациентов

250 тысяч пациентов

Доверили нам своё здоровье.
80% из них
— пришли к нам по рекомендациям

Детская стоматология -  это два в одном: виртуозное владение медицинскими методиками и тонкое понимание детской психологии и анатомии.

Молочный зуб -  это уменьшенная копия коренного. Его нерв находится ближе, эмаль тоньше, а корни ведут себя совершенно иначе. И самое главное: под каждым таким зубом уже ждет своей очереди зачаток постоянного.

Наши врачи - настоящие специалисты по детству. Они видят полную картину:

  • Физиологическую: нужно ли вмешательство сейчас, чтобы не пострадал зачаток постоянного зуба?
  • Психологическую: как сделать так, чтобы этот визит стал шагом к доверию, а не к страху на долгие годы?

Доверяя нам, вы получаете как лечение, так и инвестиции в спокойное настоящее и здоровое будущее улыбки вашего ребенка.

Быстрая запись на приём

Оставьте номер телефона и администратор перезвонит Вам в течение 5 минут.

img

Спасибо!

Наши специалисты свяжутся с вами в ближайшее время.

Ежедневно с 8:00 до 21:00

+7 (495) 801-68-68

Общий телефон

+7 (495) 324-50-50

пр. Космонавтов, д.11

+7 (495) 151-88-18

Детское отделение

+7 (495) 989-00-48

пр. Космонавтов, д.37

+7 (495) 156-20-30

ул. Терешковой, д.8

+7 (495) 104-42-00

отдел качества

Услуги

Показать всё

Услуги

Показать всё

Наши детские стоматологи

Все врачи

Наше оборудование

Дентальный микроскоп

Дентальный микроскоп

Использование ультрасовременных дентальных микроскопов создает уникальные возможности для спасения «безнадежных зубов». Микроскопы:  Advanced,  Karl Kaps,  Carl Zeiss EXTARO 300, Prima D с вариоскопом.
Sleeper One - электронная система анестезии

Sleeper One - электронная система анестезии

Система анестезии нового поколения, объём, скорость и давление подачи препарата контролируется электронной системой. Специальные иглы обеспечивают безболезненность и снижают травматичность тканей.
ICON - лечение кариеса без препарирования

ICON - лечение кариеса без препарирования

ICON - специальный препарат в виде геля, который наносится на участок зуба и глубоко проникает в его ткани, уничтожая кариозные образования и укрепляя ткани зуба.
SAF - революция в лечении зубных каналов

SAF - революция в лечении зубных каналов

Самоадаптирующийся файл из сплава никеля и титана - эффективен в самых сложных случаях лечения каналов, максимально сохраняет здоровые ткани и форму каналов.

Цены на лечение зубов детям

Все цены

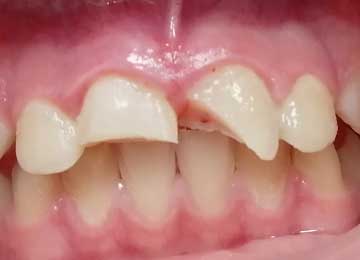
Лечение детских зубов: фото До и После

Фото ДО
Фото ПОСЛЕ

Наведите для просмотра

Лечение кариеса молочных зубов

Фото ДО
Фото ПОСЛЕ

Наведите для просмотра

Лечение молочных зубов

Фото ДО
Фото ПОСЛЕ

Наведите для просмотра

Лечение кариеса молочных зубов

Фото ДО
Фото ПОСЛЕ

Наведите для просмотра

Лечение кариеса молочных зубов

Фото ДО
Фото ПОСЛЕ

Наведите для просмотра

Восстановление молочного зуба

Фото ДО
Фото ПОСЛЕ

Наведите для просмотра

Лечение детского кариеса

Фото ДО
Фото ПОСЛЕ

Наведите для просмотра

Лечение детского кариеса

Фото ДО
Фото ПОСЛЕ

Наведите для просмотра

Лечение детского кариеса

Наши клиники

Детское отделение

Клиника «Эксперт»

Центр экспертной ортодонтии и цифровой стоматологии

Клиника экстренной помощи

Наши лицензии

Лечение проводится на основании действующих медицинских лицензий Л041-01162-50/00360420 и Л041-01162-50/00367813. Это гарантирует, что все процедуры — от диагностики до реставрации — выполняются безопасно, с использованием сертифицированных материалов и оборудования, в строгом соответствии с российскими стандартами.

Л041-01162-50/00360420 Л041-01162-50/00360420

Открыть PDF
Л041-01162-50/00367813-1 Л041-01162-50/00367813

Л041-01162-50/00367813-2 Л041-01162-50/00367813

Л041-01162-50/00367813-3 Л041-01162-50/00367813

Л041-01162-50/00367813-4 Л041-01162-50/00367813

Л041-01162-50/00367813-5 Л041-01162-50/00367813

Л041-01162-50/00367813-6 Л041-01162-50/00367813

Л041-01162-50/00367813-7 Л041-01162-50/00367813

Л041-01162-50/00367813-8 Л041-01162-50/00367813

Л041-01162-50/00367813 Л041-01162-50/00367813

Открыть PDF
Консилиум врачей в подарок Получить подарок