Ежедневно с 8:00 до 21:00

+7 (495) 324-50-50

пр. Космонавтов, д.11

+7 (495) 151-88-18

Детское отделение

+7 (495) 989-00-48

пр. Космонавтов, д.37

+7 (495) 156-20-30

ул. Терешковой, д.8

+7 (495) 104-42-00

отдел качества

+7 (495) 801-68-68

Общий телефон

+7 (495) 324-50-50

пр. Космонавтов, д.11

+7 (495) 151-88-18

Детское отделение

+7 (495) 989-00-48

пр. Космонавтов, д.37

+7 (495) 156-20-30

ул. Терешковой, д.8

+7 (495) 104-42-00

отдел качества

Ежедневно с 8:00 до 21:00

Взрослая стоматология
Детская стоматология
+7 (495) 801-68-68

Общий телефон

+7 (495) 324-50-50

пр. Космонавтов, д.11

+7 (495) 151-88-18

Детское отделение

+7 (495) 989-00-48

пр. Космонавтов, д.37

+7 (495) 156-20-30

ул. Терешковой, д.8

+7 (495) 104-42-00

отдел качества

Взрослая стоматология
Детская стоматология

Виниры для зубов

Виниры представляют собой ультратонкие накладки, чаще всего из керамики, которые фиксируются на внешней поверхности зуба, закрывая его до режущего края.

Существует и другой вид - композитные (или терапевтические) виниры. По сути, это метод художественной реставрации, когда зуб моделируется прямо во рту пациента из специального пломбировочного материала. Обычно виниры ставятся на всю зону улыбки, чтобы добиться идеальной симметрии. Однако, если нужно преобразить всего один зуб, врач легко подберет оттенок и форму так, чтобы он органично смотрелся на фоне соседних.

Если ваша цель - белоснежная улыбка, то сначала проводится профессиональное отбеливание остальных зубов, и только после этого изготавливаются виниры под новый цвет эмали.

9 клиник

9 клиник

В 5 городах подмосковья:
Королёв, Мытищи, Щёлково, Пушкино и Балашиха.
с 1998 года

с 1998 года

Многолетний накопленный опыт и собственная научная база позволяет решать даже самые сложные случаи
250 тысяч пациентов

250 тысяч пациентов

Доверили нам своё здоровье.
80% из них
— пришли к нам по рекомендациям
-0

Когда установка виниров действительно необходима?

Многие ошибочно полагают, что виниры делают исключительно ради красоты. На самом деле у этой процедуры есть и вполне практичные медицинские показания. Например, керамические или циркониевые пластинки нередко рекомендуют после лечения у ортодонта, чтобы зафиксировать результат и защитить зубы от истирания. Вот список самых распространенных ситуаций, когда виниры становятся оптимальным решением:

  • Неэстетичная форма зубов, сколы, трещины и другие дефекты эмали, которые не скрыть другими методами;
  • Врожденное или приобретенное потемнение зубов, не поддающееся отбеливанию (например, «тетрациклиновые» зубы);
  • Слишком широкие промежутки между зубами - диастемы и тремы, которые хочется закрыть без брекетов;
  • Повышенная стираемость и патологическая хрупкость зубной ткани.

Быстрая запись на приём

Оставьте номер телефона и администратор перезвонит Вам в течение 5 минут.

img

Спасибо!

Наши специалисты свяжутся с вами в ближайшее время.

Ежедневно с 8:00 до 21:00

+7 (495) 801-68-68

Общий телефон

+7 (495) 324-50-50

пр. Космонавтов, д.11

+7 (495) 151-88-18

Детское отделение

+7 (495) 989-00-48

пр. Космонавтов, д.37

+7 (495) 156-20-30

ул. Терешковой, д.8

+7 (495) 104-42-00

отдел качества

Услуги

Услуги

Наши стоматологи ортопеды

Все врачи

Наше оборудование

Аппарат наркозно-дыхательный

Аппарат наркозно-дыхательный

Аппараты наркозно-дыхательные: Blease Sirius, Fabius Tiro «Drägerwerk AG», Mindray WATO. Обеспечивают безопасную и управляемую седацию в условиях клиники. Ключевое оборудование для комфортного и безболезненного лечения в стоматологии.
CEREC - технология художественной реставрации зубов за 2 часа

CEREC - технология художественной реставрации зубов за 2 часа

CAD/CAM система CEREC позволяет проводить лечение и протезирование зубов быстро и с высокой точностью – благодаря специальному сканеру, воспроизводящему модель зуба в 3D. CEREC Omnicam, MEDIT  i700,  PrimeScan.
Дентальный микроскоп

Дентальный микроскоп

Использование ультрасовременных дентальных микроскопов создает уникальные возможности для спасения «безнадежных зубов». Микроскопы:  Advanced,  Karl Kaps,  Carl Zeiss EXTARO 300, Prima D с вариоскопом.
3D томограф Galileos

3D томограф Galileos

Охватывает всю зубочелюстную систему, включая пазухи. А благодаря 3D-моделированию аппарат  позволяет повысить диагностическую точность и виртуально спланировать наиболее эффективное лечение.
Дентальный компьютерный томограф Planmeca ProMax

Дентальный компьютерный томограф Planmeca ProMax

Уникальный компьютерный томограф для качественной диагностики  и планирования лечения
ICON - лечение кариеса без препарирования

ICON - лечение кариеса без препарирования

ICON - специальный препарат в виде геля, который наносится на участок зуба и глубоко проникает в его ткани, уничтожая кариозные образования и укрепляя ткани зуба.
SAF - революция в лечении зубных каналов

SAF - революция в лечении зубных каналов

Самоадаптирующийся файл из сплава никеля и титана - эффективен в самых сложных случаях лечения каналов, максимально сохраняет здоровые ткани и форму каналов.
Стоматологическая установка DENTSPLY SIRONA

Стоматологическая установка DENTSPLY SIRONA

Признаны стоматологами во всём мире, как наиболее совершенные и комфортные, обладающие передовыми характеристиками. Обладают наградами iF Design Gold Award и German Design Award.
Интраоральный 3D-сканер

Интраоральный 3D-сканер

3D-сканирование можно назвать новым стандартом в стоматологической практике, который становится всё более распространенным. 3D-сканер позволяет достичь высочайшей точности и качества в протезировании.

Цены на установку виниров

Все цены

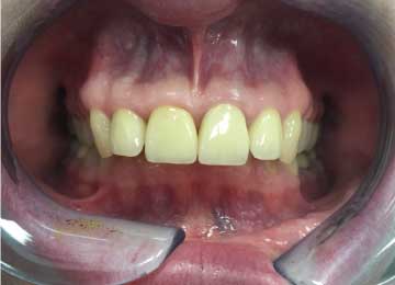
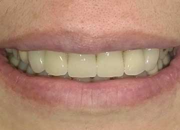
Виниры: фото До и После

Фото ДО
Фото ПОСЛЕ

Наведите для просмотра

Виниры

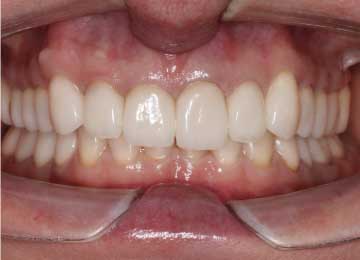
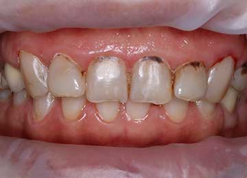
Фото ДО
Фото ПОСЛЕ

Наведите для просмотра

Виниры

Фото ДО
Фото ПОСЛЕ

Наведите для просмотра

Виниры

Наши клиники

Детское отделение

Клиника «Эксперт»

Центр экспертной ортодонтии и цифровой стоматологии

Клиника экстренной помощи

Наши лицензии

Лечение проводится на основании действующих медицинских лицензий Л041-01162-50/00360420 и Л041-01162-50/00367813. Это гарантирует, что все процедуры — от диагностики до реставрации — выполняются безопасно, с использованием сертифицированных материалов и оборудования, в строгом соответствии с российскими стандартами.

Л041-01162-50/00360420 Л041-01162-50/00360420

Открыть PDF
Л041-01162-50/00367813-1 Л041-01162-50/00367813

Л041-01162-50/00367813-2 Л041-01162-50/00367813

Л041-01162-50/00367813-3 Л041-01162-50/00367813

Л041-01162-50/00367813-4 Л041-01162-50/00367813

Л041-01162-50/00367813-5 Л041-01162-50/00367813

Л041-01162-50/00367813-6 Л041-01162-50/00367813

Л041-01162-50/00367813-7 Л041-01162-50/00367813

Л041-01162-50/00367813-8 Л041-01162-50/00367813

Л041-01162-50/00367813 Л041-01162-50/00367813

Открыть PDF

«Никаких лишних визитов: ставим виниры быстро и без стресса!»

Мы используем передовые цифровые протоколы, чтобы ваше лечение проходило максимально гладко и предсказуемо. Четкое планирование и внимание к деталям позволяют сократить количество приемов - при этом результат остается безупречным.

Как мы работаем

Диагностика и осмотр

Все начинается с личной беседы: врач изучает историю болезни, уточняет жалобы, проверяет наличие аллергий и собирает полную картину состояния вашего здоровья. Это фундамент, на котором строится идеальный план лечения.

Подготовительный этап

Если в ходе диагностики выявляются проблемы, требующие лечения, мы сначала решаем их. Обязательный шаг - профессиональная гигиена: зубной налет и камень необходимо удалить, чтобы исключить риск воспаления под винирами. Также на этом этапе мы делаем детальные снимки зубов с разных ракурсов, подбираем будущий оттенок и форму реставраций. Вы сможете высказать свои пожелания, и мы обязательно учтем их в работе. А благодаря цифровому моделированию вы увидите, как будет выглядеть ваша улыбка, еще до начала протезирования.

Препарирование (обточка зубов)

Чтобы виниры встали идеально и не выглядели громоздкими, зубам придают нужную форму - аккуратно убирают тонкий слой эмали (обычно не более 0,3–0,5 мм). В случае с ультранирами обточка часто не требуется. Процедура проходит под местной анестезией и абсолютно безболезненна. А чтобы защитить обработанные зубы до фиксации постоянных виниров, мы устанавливаем временные накладки из композитного материала.

Снятие слепков

Чтобы виниры идеально встали на место и не нарушали прикус, мы создаем их по точным слепкам ваших зубов. Слепки служат основой для рабочих моделей челюсти, на которых техник в дальнейшем выкладывает или прессует керамику - слой за слоем, добиваясь идеального контакта с тканями зуба.

Изготовление виниров

В лаборатории зубной техник по рабочим моделям создает будущие реставрации. От его опыта и мастерства напрямую зависит, насколько виниры будут точными, красивыми и долговечными. В Prime Smile своя зуботехническая лаборатория, а врач и техник работают бок о бок. Такое командное взаимодействие позволяет добиваться безупречного результата - без права на ошибку.

Фиксация

Готовые виниры крепятся на зубы с помощью специального цемента. Чтобы сцепление было максимально надежным, эмаль слегка протравливают - так поверхность становится чуть шероховатой. Благодаря современным адгезивным системам винир соединяется с зубом на монолитном уровне, и граница между ними становится абсолютно невидимой. Снять такую конструкцию без повреждения уже не получится - только с помощью бормашины.

Что влияет на итоговую стоимость лечения винирами?

Состояние зубов

Ни один ответственный врач не возьмется ставить виниры на зубы, не вылеченные от кариеса или других заболеваний. Здоровье зуба - это фундамент, от которого напрямую зависит срок службы реставрации. Поэтому первый этап всегда санация: убираем все лишнее, лечим то, что беспокоит, и только потом приступаем к протезированию.

Здоровье десен

Виниры требуют идеального состояния мягких тканей. Воспаление, пародонтит, кровоточивость или глубокие десневые карманы - все это временные противопоказания. Сначала проводим пародонтологическое лечение, затем ставим виниры. Иначе реставрации долго не продержатся.

Общее здоровье организма

Человек - единая система, и зубы здесь не исключение. Гормональные сбои, дефицит витаминов, хронические заболевания - все это может повлиять на состояние опорных зубов и, как следствие, на долговечность виниров. Чтобы минимизировать риски, перед масштабным лечением мы можем порекомендовать сдать базовые анализы.

Прикус и высота зубов

Если прикус снижен или нарушена биомеханика жевания, нагрузка на виниры распределяется неправильно. В таких случаях даже самая качественная керамика может дать сколы. Поэтому перед протезированием важно нормализовать высоту прикуса и убедиться, что челюсти работают слаженно.

Состояние височно-нижнечелюстного сустава

ВНЧС тоже участвует в процессе жевания. Если сустав работает со сбоями, это создает лишнее напряжение для реставраций. Чтобы виниры служили годами, мы проверяем и этот параметр.

Композитные виниры

Это прямое моделирование зубов с помощью светоотверждаемого композитного материала. По сути - художественная реставрация, которая выполняется за одно посещение прямо в кресле стоматолога.

Керамические виниры E-max

Виниры из прессованной керамики E-max максимально приближены к оптике натуральной эмали. Материал известен своей прочностью, полупрозрачностью и способностью имитировать живой зуб на 100%.

Наши врачи помогут подобрать подходящий вид виниров именно в вашем случае.

Консилиум врачей в подарок Получить подарок