Ежедневно с 8:00 до 21:00

+7 (495) 324-50-50

пр. Космонавтов, д.11

+7 (495) 151-88-18

Детское отделение

+7 (495) 989-00-48

пр. Космонавтов, д.37

+7 (495) 156-20-30

ул. Терешковой, д.8

+7 (495) 104-42-00

отдел качества

+7 (495) 801-68-68

Общий телефон

+7 (495) 324-50-50

пр. Космонавтов, д.11

+7 (495) 151-88-18

Детское отделение

+7 (495) 989-00-48

пр. Космонавтов, д.37

+7 (495) 156-20-30

ул. Терешковой, д.8

+7 (495) 104-42-00

отдел качества

Ежедневно с 8:00 до 21:00

Взрослая стоматология
Детская стоматология
+7 (495) 801-68-68

Общий телефон

+7 (495) 324-50-50

пр. Космонавтов, д.11

+7 (495) 151-88-18

Детское отделение

+7 (495) 989-00-48

пр. Космонавтов, д.37

+7 (495) 156-20-30

ул. Терешковой, д.8

+7 (495) 104-42-00

отдел качества

Взрослая стоматология
Детская стоматология

Исправление прикуса без брекетов

В стоматологической клинике «Интердентос» в Королеве предлагают исправление прикуса без брекетов и без применения кардинальных методик. Для этого нужно пройти обследование у врача, после чего будут определены возможности применения ортодонтического лечения.

9 клиник

9 клиник

В 5 городах подмосковья:
Королёв, Мытищи, Щёлково, Пушкино и Балашиха.
с 1998 года

с 1998 года

Многолетний накопленный опыт и собственная научная база позволяет решать даже самые сложные случаи
250 тысяч пациентов

250 тысяч пациентов

Доверили нам своё здоровье.
80% из них
— пришли к нам по рекомендациям
-0

Альтернативными методами исправления прикуса без брекетов служат:

  • Элайнеры - современные съемные приспособления, абсолютно прозрачные, незаметные на зубах помогают устранить легкие и средние нарушения;
  • Трейнеры – готовые съемные накладки, полиуретановые или силиконовые капы с выемками, способные устранить патологии и устранять первопричины. Мягкие конструкции тренируют жевательные мышцы, корректируют положение языка. Трейнеры достаточно надевать на ночь, и носить их всего 1 час днем. Сроки ношения – примерно 1-2 года.
  • Капы – отличаются от трейнеров большей толщиной, так как принимают на себя большую нагрузку. В зависимости от назначения, каппы могут быть защитные, отбеливающие, коррекционные;
  • Ортодонтические вестибулярные пластинки изготавливают из безопасного пластика и силикона. Они предназначены для маленьких деток, которые могут брать в рот приспособления в виду пустышек, которые помогут не толок уберечь прикус от патологии, но и устранить неприятные привычки у малышей в сосании пальчика и отвыкания рот пустышек. Аппарат не мешает зубам смыкаться и не влияет на прикус.
  • Хирургическое вмешательство. Радикальное исправление прикуса используется в редких, самых сложных случаях и требует профессионализма и особой подготовки специалистов.

Кроме использования различных конструкций, применяется миотерапия – щадящий способ, представляющий комплекс упражнений для развития зубочелюстной системы. Врач обучает пациента специальным упражнениям, которые развивают лицевую мускулатуру, стимулируют формирование костной ткани и челюстных структур. Техники помогают исправить прикус с легкими дефектами. Для более серьезных патологий применяются другие способы исправления прикуса.

Подобные коррекционные системы являются новинками в стоматологии. Они действуют на зубные ряды очень деликатно, положительно влияют на челюстные мышцы, используются для детей и взрослых.

Выбор методики восстановления правильного прикуса без брекетов зависит от степени патологи, возраста ребенка, финансовых возможностей.

Лечение остается длительным, как и в случае с брекетами, но проводится оно намного проще, при этом эффективно и результативно. Из перечисленных систем наиболее результативными являются брекеты.

Быстрая запись на приём

Оставьте номер телефона и администратор перезвонит Вам в течение 5 минут.

img

Спасибо!

Наши специалисты свяжутся с вами в ближайшее время.

Ежедневно с 8:00 до 21:00

+7 (495) 801-68-68

Общий телефон

+7 (495) 324-50-50

пр. Космонавтов, д.11

+7 (495) 151-88-18

Детское отделение

+7 (495) 989-00-48

пр. Космонавтов, д.37

+7 (495) 156-20-30

ул. Терешковой, д.8

+7 (495) 104-42-00

отдел качества

Наши ортодонты

Все врачи

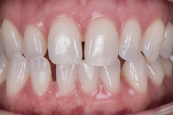
Исправление прикуса без брекетов: фото До и После

Фото ДО
Фото ПОСЛЕ

Наведите для просмотра

Элайнеры

Фото ДО
Фото ПОСЛЕ

Наведите для просмотра

Элайнеры

Фото ДО
Фото ПОСЛЕ

Наведите для просмотра

Элайнеры

Наши клиники

Детское отделение

Клиника «Эксперт»

Центр экспертной ортодонтии и цифровой стоматологии

Клиника экстренной помощи

Наши лицензии

Лечение проводится на основании действующих медицинских лицензий Л041-01162-50/00360420 и Л041-01162-50/00367813. Это гарантирует, что все процедуры — от диагностики до реставрации — выполняются безопасно, с использованием сертифицированных материалов и оборудования, в строгом соответствии с российскими стандартами.

Л041-01162-50/00360420 Л041-01162-50/00360420

Открыть PDF
Л041-01162-50/00367813-1 Л041-01162-50/00367813

Л041-01162-50/00367813-2 Л041-01162-50/00367813

Л041-01162-50/00367813-3 Л041-01162-50/00367813

Л041-01162-50/00367813-4 Л041-01162-50/00367813

Л041-01162-50/00367813-5 Л041-01162-50/00367813

Л041-01162-50/00367813-6 Л041-01162-50/00367813

Л041-01162-50/00367813-7 Л041-01162-50/00367813

Л041-01162-50/00367813-8 Л041-01162-50/00367813

Л041-01162-50/00367813 Л041-01162-50/00367813

Открыть PDF

Съемные ортодонтические системы – преимущества

Патологии прикуса проявляются уже в детстве, когда молочные зубы меняются на постоянные. Родители могут замечать искривления, но не предпринимать никаких действий, а зря. Зубочелюстные аномалии на ранних стадиях можно исправить без ношения брекетов.

У нас вы найдете большой перечень услуг и методик ортодонтического лечения, первоклассные материалы мировых производителей и современную диагностическую аппаратуру. Запишитесь на прием к врачу-ортодонту по нашим телефонам или на сайте, и вы узнаете, какие простые методы лечения зубов вам подходят.

Человек, страдающий от неправильного прикуса, имеет множество заболеваний зубочелюстной системы – кариес, стираемость зубов, патологии десен. Также часто встречаются нарушения пищеварительной системы, патологи ВНЧС, проблемы с дикцией.

Чтобы не допустить регресса в развитии зубов, приводите ребенка на осмотр, и в случае нарушений мы подберем услуги по доступным ценам. Стоматологические системы помогут быстро исправить прикус так, что вы сможете забыть о дефектах в будущем. Оперативно и точно мы изготавливаем или подбираем готовые изделия, там, где это предусмотрено. Гарантия полной эффективности лечения зубов и прикуса для каждого пациента!

Популярность ортодонтического лечения системами съемного типа для исправления прикуса без брекетов обусловлена несколькими основными преимуществами:

  • Конструкции снимается и легко надевается;
  • Незаметны при ношении;
  • Не вызывают аллергии, так как изготавливаются из гипоаллергенных силикона и полиуретана;
  • Не дают высокой нагрузки на мягкие ткани и зубы;
  • Легко проводить гигиену полости рта, снимая капы.

Также хорошим преимуществом исправления прикуса на ранних стадиях является стоимость лечения зубов – она доступна большинству пациентов, не требует больших вложений при обслуживании, и гораздо дешевле, чем брекет-системы.

Какие бывают съемные аппараты для коррекции прикуса

  • Взрослые и детские
    Для начала аппараты делятся по возрастным признакам. Существуют варианты для детей и взрослых. По материалам изготовления и типу конструкции разница невелика, главный признак – размер изделия. Если речь идет об элайнерах, то они изготавливаются для каждого пациента индивидуально.
  • По цели коррекции
    В основе назначения той или иной конструкции для исправления прикуса без брекетов лежит терапевтическая специализация, то есть, предназначение по индивидуальным показаниям. Например, для скученности зубов применяют специальные капы и пластины, отдельные изделия используют при ротации зубов и нарушении прикуса.

Как изготавливают капы и элайнеры

Исправление прикуса без брекетов проводится с помощью трейнеров, пластинок, элайнеров, кап. Если трейнеры выпускаются в разных размерах, и их просто нужно профессионально подбирать по размерам, то другие съемные конструкции изготавливаются индивидуально по показаниям пациента. После проведения всесторонней диагностики и установки точного диагноза, подготовки к коррекции, в зуботехнической лаборатории изготовят необходимую конструкцию.

  • Этап 1 – снятие слепков.
  • Формирование окклюзионного шаблона для изготовления элайнеров.
  • Изготовление конструкции методом термического прессования. Для этого у нас есть современное европейское оборудование, закупается гипоаллергенное сырье нового поколения.
  • Врач обучает пациента правильно снимать и одевать элайнеры или капы, рассказывает о режиме ношения и уходе.

В дальнейшем пациент сам одевает и снимает капы. Чтобы исправить прикус, важно в назначенный срок приходить к стоматологу-ортопеду для контроля над процессом изменений.

Как ухаживать за капами и элайнерами

Уход за полиуретановыми изделиями не составляет труда. После установки аппарата для исправления прикуса без брекетов нужно соблюдать несколько требований:

  • Храните изделия в специальном растворе, в контейнере с закрытой крышкой.
  • Приобретите щетки с мягкой щетиной для чистки изделия.
  • Не сжимайте и не мните силиконовые и полиуретановые изделия, чтобы не создать деформации, иначе придется переделывать весь комплекс.

Для каждого пациента подбирается свой график посещения врача, чтобы контролировать эффективность лечения. Мы обязательно подберем вам удобное время, чтобы не пришлось уходить с работы и откладывать срочные дела.

Элайнеры помогают исправлять прикус в случае, когда несъемные ортодонтические конструкции применять нельзя. Терапевтический эффект от силиконовых кап приближен к эффекту брекет-систем.

В клинике эстетической стоматологии «Интердентос» в Королеве мы предлагаем качественный сервис, комфортные условия, внимание к каждому пациенту на любом этапе работы, от первой бесплатной консультации. Первый шаг на пути к красивой улыбке – запись на консультацию в нашу клинику!

Консилиум врачей в подарок Получить подарок