Ежедневно с 8:00 до 21:00

+7 (495) 324-50-50

пр. Космонавтов, д.11

+7 (495) 151-88-18

Детское отделение

+7 (495) 989-00-48

пр. Космонавтов, д.37

+7 (495) 156-20-30

ул. Терешковой, д.8

+7 (495) 104-42-00

отдел качества

+7 (495) 801-68-68

Общий телефон

+7 (495) 324-50-50

пр. Космонавтов, д.11

+7 (495) 151-88-18

Детское отделение

+7 (495) 989-00-48

пр. Космонавтов, д.37

+7 (495) 156-20-30

ул. Терешковой, д.8

+7 (495) 104-42-00

отдел качества

Ежедневно с 8:00 до 21:00

Взрослая стоматология
Детская стоматология
+7 (495) 801-68-68

Общий телефон

+7 (495) 324-50-50

пр. Космонавтов, д.11

+7 (495) 151-88-18

Детское отделение

+7 (495) 989-00-48

пр. Космонавтов, д.37

+7 (495) 156-20-30

ул. Терешковой, д.8

+7 (495) 104-42-00

отдел качества

Взрослая стоматология
Детская стоматология

Выравнивание зубов

Эстетическая стоматология «Интердентос» в Королеве предлагает большой ассортимент услуг, включающих выравнивание зубов на основе материалов лучших мировых производителей. Мы восстановим эстетический вид ваших зубных рядов, обеспечим качественное жевание и эффективную функциональность на долгие годы.
9 клиник

9 клиник

В 5 городах подмосковья:
Королёв, Мытищи, Щёлково, Пушкино и Балашиха.
с 1998 года

с 1998 года

Многолетний накопленный опыт и собственная научная база позволяет решать даже самые сложные случаи
250 тысяч пациентов

250 тысяч пациентов

Доверили нам своё здоровье.
80% из них
— пришли к нам по рекомендациям
-0

Выравнивание зубов необходимо не только из-за эстетической составляющей.

При неправильном жевании страдают различные органы и системы, например, нарушается работа пищеварительного тракта, неправильно функционирующие мышцы челюстно-лицевого сегмента могут влиять на состояние позвоночника и шеи, привнося общий дискомфорт.

Мы отлично понимаем, какой сложности запрос на такие услуги, и предлагаем пациентам самые новейшие мировые разработки ортодонтического лечения, а также инструменты в нашей, хорошо оборудованной, эстетической стоматологии в Королеве.

Быстрая запись на приём

Оставьте номер телефона и администратор перезвонит Вам в течение 5 минут.

img

Спасибо!

Наши специалисты свяжутся с вами в ближайшее время.

Ежедневно с 8:00 до 21:00

+7 (495) 801-68-68

Общий телефон

+7 (495) 324-50-50

пр. Космонавтов, д.11

+7 (495) 151-88-18

Детское отделение

+7 (495) 989-00-48

пр. Космонавтов, д.37

+7 (495) 156-20-30

ул. Терешковой, д.8

+7 (495) 104-42-00

отдел качества

Наши врачи ортодонты

Все врачи

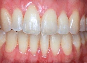
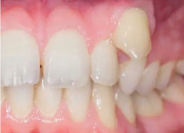
Выравнивание зубов: фото До и После

Фото ДО
Фото ПОСЛЕ

Наведите для просмотра

Выравнивание зубов

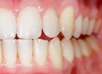
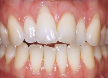
Фото ДО
Фото ПОСЛЕ

Наведите для просмотра

Выравнивание зубов

Наши клиники

Детское отделение

Клиника «Эксперт»

Центр экспертной ортодонтии и цифровой стоматологии

Клиника экстренной помощи

Наши лицензии

Лечение проводится на основании действующих медицинских лицензий Л041-01162-50/00360420 и Л041-01162-50/00367813. Это гарантирует, что все процедуры — от диагностики до реставрации — выполняются безопасно, с использованием сертифицированных материалов и оборудования, в строгом соответствии с российскими стандартами.

Л041-01162-50/00360420 Л041-01162-50/00360420

Открыть PDF
Л041-01162-50/00367813-1 Л041-01162-50/00367813

Л041-01162-50/00367813-2 Л041-01162-50/00367813

Л041-01162-50/00367813-3 Л041-01162-50/00367813

Л041-01162-50/00367813-4 Л041-01162-50/00367813

Л041-01162-50/00367813-5 Л041-01162-50/00367813

Л041-01162-50/00367813-6 Л041-01162-50/00367813

Л041-01162-50/00367813-7 Л041-01162-50/00367813

Л041-01162-50/00367813-8 Л041-01162-50/00367813

Л041-01162-50/00367813 Л041-01162-50/00367813

Открыть PDF

Показания к выравниванию зубов

Ровные зубы и правильный прикус станут вашей визитной карточкой в общении, так как в образе современного человека они являются основой эстетической привлекательности. Женщины и мужчины могут в равной мере страдать от нарушений прикуса в период взросления.

Чаще всего к нам обращаются пациенты, которые хотят улучшить эстетическую привлекательность зубных рядов. Однако существует и ряд медицинских показаний. В целом можно выделить такие моменты:

  • Диспропорции челюстей, нарушения прикуса различного типа (например, открытый, дистальный, мезиальный);
  • Смещение зубов в сторону, разворот около своей оси;
  • Застрявшие зубы, которые не могут прорезаться до конца из-за помех костной системе или скученности зубов;
  • Наличие трем, диастем (широких промежутков между зубами);
  • Чрезмерная стираемость зубов;
  • Храп во сне, нарушение дыхания;
  • Головные боли, шейное напряжение;
  • Наличие плохо удерживаемых коронок или пломб в полости рта.

Выравнивание зубов – возрастные промежутки

Многие пациенты задаются вопросом, с какого возраста можно заниматься выравниванием зубов. Ответ здесь однозначный – чем раньше, чем лучше. Проблемы с прикусом возникают во время смены молочных зубов на коренные. Так что уже в возрасте 6-9 лет можно корректировать зубные ряды и прикус, однако полноценное лечение начинать лучше позже, с 15-15 лет. Однако, если вы пропустили этот период по каким-то причинам, мы можем вам помочь и в более зрелом возрасте, если ваши зубы на месте, но выглядят неэстетично.

Ортодонтическое лечение прикуса во взрослом возрасте становится популярнее, так же, как и отношение к собственному здоровью.

Взрослые пациенты относятся к процедуре осознанно, знают свои цели и имеют достаточную мотивацию для выполнения рекомендаций ортодонта. Поэтому даже большее количество времени, которое нужно на коррекцию, не смущает ни пациентов, ни врачей, устанавливающих виниры, накладки, коронки и брекеты.

Если вы задумались о выравнивании зубов, или вашему ребенку нужна помощь ортодонта, мы готовы принять вас в нашем уютном центре стоматологии в Королеве. Многие взрослые, чтобы мотивировать ребенка, носят брекеты вместе с ним. Мы готовы дать вам скидки на семейные приемы, чтобы воспитать ответственное отношение к здоровью и сплотить семью.

Сколько стоит выравнивание зубов

Стоимость лечения и выравнивания зубов может отличаться по применению методик и материалов в разы. Металлические (лигатурные брекеты) стоят от 75 тысяч рублей – это наиболее доступные системы, помогающие выровнять зубы и скорректировать прикус. Затем проводится корректировка, стоимость которой не превышает 10 тысяч рублей. Дороже стоят керамические брекеты, но и они не превосходят в цене элайнеры, стоимость комплекта которых может достигать полумиллиона рублей.

Наши ортодонты подбирают варианты ортодонтического лечения зубов с учетом материальной составляющей, и предлагают вам несколько конструкций, среди которых обязательно можно выбрать подходящую по цене и эффективности.

Способы выравнивания зубов

Мы предлагаем:

  • многопетлевые брекет-системы;
  • элайнеры, капы;
  • пластины;
  • исправление прикуса Flexiligner Pro (2 дуги).

Брекет-системы

Вестибулярные и лигатурные брекет-системы

Классические вестибулярные модели (безлигатурные) фиксируются снаружи и заметны для окружающих, но это не мешает молодым людям носить их длительное время, так как мода на здоровье поощряет тех, кто прикладывает к этому усилия. Такие брекеты могут устранить любые проблемы:

  • неправильного роста зубов, включая скученность;
  • поворот зуба вокруг своей оси;
  • нарушение прикуса;
  • вход его за границу зубного ряда;
  • вытягивание непрорезавшегося зуба.

Системы, в которых креплениями служат специальные резинки, называют лигатурными.

Вестибулярные брекет-системы на пике популярности у прогрессивной молодежи. Суть ортодонтического лечения заключается в следующем: на внешней стороне зубов закрепляется металлическая дуга, которая через установленное время перекрепляется на новое положение.

Современные многопетлевые дуги

Их изготавливают по слепкам верхней или нижней челюсти.

Преимущества брекетов с многопетлевой дугой:

  • Легкость контроля над зубами, меняющими свою позицию.
  • Каждый зуб фиксируется отдельно, с помощь специальных крючков. При этом на соседние зубы не оказывается никакого влияния, а зуб может перемещаться в трех направлениях.
  • При травме нижнечелюстного сустава возможно восстановление анатомических соотношений кости.
  • Данная модель займет меньше времени для коррекции нарушения прикуса, чем брекет с прямой дугой.

Лингвальные брекеты

Бывают ситуации, когда пациенту важна эстетическая составляющая уже в первые дни ношения брекетов. Например, для людей творческих или публичных профессий. Лингвальные брекет-системы более совершенные и, соответственно, более дорогие модели для выравнивания зубов брекетами с фиксацией на внутренней стороне зубов.

Лингвальные брекеты имеют следующие плюсы:

  • С помощью 3D-моделирования результат можно отследить уже в компьютерном виде, перед установкой систем.
  • Процесс лечения зубов корректируется на каждом этапе.
  • Брекеты не видят окружающие, а значит, нет повода для стеснений и комплексов.

Правда, лингвальные модели приносят и негативные ощущения, превосходя в этом даже элайнеры. Могут появиться раздражения на слизистой от натирания конструкцией, не поможет даже воск, который применяют в случае с лигатурными брекетами. На их промежуточную коррекцию потребуется больше времени. Обо всех этих недостатках, применительно к каждому конкретному случаю, врач информирует каждого пациента, выбирающего удобства лечения зубов.

Элайнеры, или ортодонтические капы

Прекрасной новейшей альтернативой брекетам являются элайнеры для выравнивания зубов – пластиковые капы, которые разрабатываются комплектом и меняются по мере привыкания на следующий, согласно компьютерному моделированию. Элайнеры – капы для выравнивания зубов, плотно прилегающие зубы, вариант съемных конструкций, изготовленных из пластичного силикона.

Они незаметны на зубах при разговоре, поэтому люди, не желающие показывать свои манипуляции с зубными рядами, могут воспользоваться установкой кап и продолжать социальную жизнь.

Врач проводит тщательную диагностику, обрабатывает результат, и составляет программу лечения. Для этого снимаются слепки и пациенту выдается несколько комплектов кап (на несколько недель сразу).

Носят капы ежедневно, днем и ночью, снимая на прием пищи и проведение гигиенических процедур. Замена комплектов проводится через 2-3 недели, по назначению врача.

Ортодонтические аппараты – конструкции для детей

Если дефект появился у ребенка в 5-7 лет не стоит тянуть с коррекцией. Дети переносят установку конструкции на зубах проще. Это будет не брекеты и элайнеры, а более простой инструмент. Например, ортодонтическая пластина, которая расширяет зубной ряд и корректирует положение зубов на нем. Также челюсть направляется в правильном направлении для дальнейшего роста.

Мы предлагаем:

  • пластины съемные;
  • аппарат Хааса для коррекции нарушения прикуса;
  • распорки для межзубного пространства, чтобы сохранять место после потери молочных зубов.

На самом раннем этапе нарушения в формировании зубочелюстной системы быстро устраняются, и в дальнейшем не потребуется длительное ортодонтическое лечение.

Композитная реставрация

Иногда дефекты бывают такими, что опытный врач может справиться с ними без установки выравнивающих конструкций. Например, большие щели между зубами устраняются при помощи композитных реставраций. Если у вас нет больших проблем с прикусом, то коррекция щелей между зубами займет 1-2 сеанса, и вы сможете восстановить эстетику зубного ряда. Также мы устанавливаем виниры и коронки, для этого нужна тщательная предварительная подготовка.

Хирургическая операция

Если случаи не подлежат коррекции, для исправления прикуса может применяться хирургическое вмешательство. Операция по исправлению прикуса выравнивает зубы, но требует большой подготовительной работы, ношения ортодонтического аппарата и последующей реабилитации. Однако нужно понимать, что все индивидуально, и даже до или после операции придется обратиться к ношению выравнивающей конструкции.

Преимущества клиники «Интердентос» в Королеве

  • Опытные врачи, хирурги и ортодонты понимают, насколько все системы организма связаны. Они тщательно рассчитывают параметры и не нанесут вреда организму.
  • Комплексный подход: в одном месте проводится лечение и чистка зубов, изготовление и установка корректирующих конструкций, протезирование и имплантация.
  • Наличие диагностической аппаратуры, оборудованные кабинеты, собственная зуботехническая лаборатория.
  • Эффективное лечение. Мы применяем только материалы и методики исправления прикуса проверенных фирм мировых брендов, дающих гарантии на свои продукты, которые зачастую, пожизненные, как например, в имплантации зубов.
  • Информация о лечении. Мы обеспечим полную информативность, включая минусы различных методик и те сложности, которые ждут вас при ношении выравнивающих конструкций. И пусть дискомфорт присутствует, при исправлении прикуса все же мы обеспечим минимальное количество неприятных ощущений. Немного неприятностей при адаптации и через несколько дней в будете носить приспособления, не замечая их присутствия. После перемещения зубов в брекетах неприятные ощущения могут сохраняться до 3-4 дней, затем проходят.

Красивая и здоровая улыбка – настоящая реальность. Запишитесь на прием в нашу клинику, и мы поможем вам обрести гармонию!

Консилиум врачей в подарок Получить подарок