Ежедневно с 8:00 до 21:00

+7 (495) 324-50-50

пр. Космонавтов, д.11

+7 (495) 151-88-18

Детское отделение

+7 (495) 989-00-48

пр. Космонавтов, д.37

+7 (495) 156-20-30

ул. Терешковой, д.8

+7 (495) 104-42-00

отдел качества

+7 (495) 801-68-68

Общий телефон

+7 (495) 324-50-50

пр. Космонавтов, д.11

+7 (495) 151-88-18

Детское отделение

+7 (495) 989-00-48

пр. Космонавтов, д.37

+7 (495) 156-20-30

ул. Терешковой, д.8

+7 (495) 104-42-00

отдел качества

Ежедневно с 8:00 до 21:00

Взрослая стоматология
Детская стоматология
+7 (495) 801-68-68

Общий телефон

+7 (495) 324-50-50

пр. Космонавтов, д.11

+7 (495) 151-88-18

Детское отделение

+7 (495) 989-00-48

пр. Космонавтов, д.37

+7 (495) 156-20-30

ул. Терешковой, д.8

+7 (495) 104-42-00

отдел качества

Взрослая стоматология
Детская стоматология

Протезирование зубов

Протезирование зубов – одно из ведущих направлений в современной стоматологии. Удобные системы крепления протезов и высококлассные материалы предоставляют возможность целиком восстановить зубной ряд, причем визуально вставные зубы никак не отличаются от настоящих. Стоимость протезирования сейчас такова, что позволить себе такую операцию может абсолютное большинство желающих. Даже самые сложные дефекты сегодня можно устранить, и вернуть себе очаровательную улыбку!
9 клиник

9 клиник

В 5 городах подмосковья:
Королёв, Мытищи, Щёлково, Пушкино и Балашиха.
с 1998 года

с 1998 года

Многолетний накопленный опыт и собственная научная база позволяет решать даже самые сложные случаи
250 тысяч пациентов

250 тысяч пациентов

Доверили нам своё здоровье.
80% из них
— пришли к нам по рекомендациям

Виды зубных протезов

Существует несколько разновидностей зубных протезов:

  • Съемные конструкции, как правило, изготовлены из высокопрочной пластмассы. Такие протезы могут быть полными (при отсутствии всего зубного ряда), либо частичными (при нехватке одного или нескольких зубов). Обычно съемный протез применяется в качестве временной меры на период изготовления несъемной конструкции.
  • Несъемные протезы эффективно заменяют утраченные зубы в течение длительного времени. В зависимости от состояния зубного ряда, индивидуальных особенностей и поставленной задачи, пациенту могут быть предложены коронки, вкладки либо мостовидные протезы, изготовленные из современных надежных материалов (керамика, диоксид циркония, металлокерамика).
  • Имплантаты представляют собой ортопедические конструкции, закрепленные на стержне, вживленном в челюстную кость. Такой тип протезирования позволяет восстановить зубной ряд и при этом уберечь от обтачивания здоровые зубы.

Сегодня имплантация зубов широко распространена во всех развитых странах мира. Стоимость процедуры в стоматологических клиниках «Интердентос» зависит от нескольких факторов – вида имплантации, объема протезирования, используемого материала, применяемых методик. Высокая квалификация специалистов и гарантированное качество протезов – залог красивой улыбки наших пациентов.

Быстрая запись на приём

Оставьте номер телефона и администратор перезвонит Вам в течение 5 минут.

img

Спасибо!

Наши специалисты свяжутся с вами в ближайшее время.

Ежедневно с 8:00 до 21:00

+7 (495) 801-68-68

Общий телефон

+7 (495) 324-50-50

пр. Космонавтов, д.11

+7 (495) 151-88-18

Детское отделение

+7 (495) 989-00-48

пр. Космонавтов, д.37

+7 (495) 156-20-30

ул. Терешковой, д.8

+7 (495) 104-42-00

отдел качества

Услуги

Услуги

Врачи ортопедического отделения

Все врачи

Наше оборудование

Дентальный микроскоп

Дентальный микроскоп

Использование ультрасовременных дентальных микроскопов создает уникальные возможности для спасения «безнадежных зубов». Микроскопы:  Advanced,  Karl Kaps,  Carl Zeiss EXTARO 300, Prima D с вариоскопом.
3D томограф Galileos

3D томограф Galileos

Охватывает всю зубочелюстную систему, включая пазухи. А благодаря 3D-моделированию аппарат  позволяет повысить диагностическую точность и виртуально спланировать наиболее эффективное лечение.
Артикулятор

Артикулятор

Является универсальным прибором для диагностики и терапии, он имитирует жевательные движения, точно определяя анатомические особенности пациента и незаменим при изготовлении ортопедических конструкций.
Дентальный компьютерный томограф Planmeca ProMax

Дентальный компьютерный томограф Planmeca ProMax

Уникальный компьютерный томограф для качественной диагностики  и планирования лечения
Sleeper One - электронная система анестезии

Sleeper One - электронная система анестезии

Система анестезии нового поколения, объём, скорость и давление подачи препарата контролируется электронной системой. Специальные иглы обеспечивают безболезненность и снижают травматичность тканей.
Стоматологическая установка DENTSPLY SIRONA

Стоматологическая установка DENTSPLY SIRONA

Признаны стоматологами во всём мире, как наиболее совершенные и комфортные, обладающие передовыми характеристиками. Обладают наградами iF Design Gold Award и German Design Award.
Интраоральный 3D-сканер

Интраоральный 3D-сканер

3D-сканирование можно назвать новым стандартом в стоматологической практике, который становится всё более распространенным. 3D-сканер позволяет достичь высочайшей точности и качества в протезировании.

Цены на протезирование зубов

Все цены

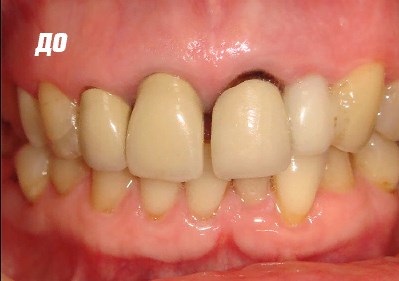
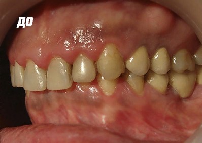
Протезирование зубов: фото До и После

Фото ДО
Фото ПОСЛЕ

Наведите для просмотра

Протезирование коронками

Фото ДО
Фото ПОСЛЕ

Наведите для просмотра

Протезирование коронками

Фото ДО
Фото ПОСЛЕ

Наведите для просмотра

Протезирование коронками

Фото ДО
Фото ПОСЛЕ

Наведите для просмотра

Протезирование коронками

Фото ДО
Фото ПОСЛЕ

Наведите для просмотра

Протезирование коронками

Наши клиники

Детское отделение

Клиника «Эксперт»

Центр экспертной ортодонтии и цифровой стоматологии

Клиника экстренной помощи

Наши лицензии

Лечение проводится на основании действующих медицинских лицензий Л041-01162-50/00360420 и Л041-01162-50/00367813. Это гарантирует, что все процедуры — от диагностики до реставрации — выполняются безопасно, с использованием сертифицированных материалов и оборудования, в строгом соответствии с российскими стандартами.

Л041-01162-50/00360420 Л041-01162-50/00360420

Открыть PDF
Л041-01162-50/00367813-1 Л041-01162-50/00367813

Л041-01162-50/00367813-2 Л041-01162-50/00367813

Л041-01162-50/00367813-3 Л041-01162-50/00367813

Л041-01162-50/00367813-4 Л041-01162-50/00367813

Л041-01162-50/00367813-5 Л041-01162-50/00367813

Л041-01162-50/00367813-6 Л041-01162-50/00367813

Л041-01162-50/00367813-7 Л041-01162-50/00367813

Л041-01162-50/00367813-8 Л041-01162-50/00367813

Л041-01162-50/00367813 Л041-01162-50/00367813

Открыть PDF

Почему стоит обратиться в «Интердентос»

  • Быстрота проведения ортопедических мероприятий: в нашем Центре есть собственная зуботехническая лаборатория
  • Мы выполняем любые виды ортопедических работ со стабилизацией на естественных зубах, культевых вкладках, имплантатах.
  • Абсолютная безболезненность операции.
  • Высококачественные материалы и профессиональная работа врачей-стоматологов.
  • Установка временных конструкций, маскирующих эстетические дефекты зубных рядов.
  • Полное соответствие стандартам здравоохранения, гарантирующее безопасность здоровья пациентов.
Консилиум врачей в подарок Получить подарок