Ежедневно с 8:00 до 21:00

+7 (495) 324-50-50

пр. Космонавтов, д.11

+7 (495) 151-88-18

Детское отделение

+7 (495) 989-00-48

пр. Космонавтов, д.37

+7 (495) 156-20-30

ул. Терешковой, д.8

+7 (495) 104-42-00

отдел качества

+7 (495) 801-68-68

Общий телефон

+7 (495) 324-50-50

пр. Космонавтов, д.11

+7 (495) 151-88-18

Детское отделение

+7 (495) 989-00-48

пр. Космонавтов, д.37

+7 (495) 156-20-30

ул. Терешковой, д.8

+7 (495) 104-42-00

отдел качества

Ежедневно с 8:00 до 21:00

Взрослая стоматология
Детская стоматология
+7 (495) 801-68-68

Общий телефон

+7 (495) 324-50-50

пр. Космонавтов, д.11

+7 (495) 151-88-18

Детское отделение

+7 (495) 989-00-48

пр. Космонавтов, д.37

+7 (495) 156-20-30

ул. Терешковой, д.8

+7 (495) 104-42-00

отдел качества

Взрослая стоматология
Детская стоматология

Стоматолог детский

Захарова Екатерина Сергеевна

  • Владеет методиками адаптации детей с тяжелыми фобиями
  • Проводит лечение в наркозе, в седации (закись азота)
  • Специалист по лечению травмы зубов
Захарова Екатерина Сергеевна
Екатерина Сергеевна - опытный ведущий детский стоматолог клиники с 12-летним стажем работы. В медицинском центре она трудится уже много лет, оказывая качественную стоматологическую помощь маленьким пациентам.

Доктор специализируется на эстетической реставрации молочных и постоянных зубов, а также проводит лечение кариеса, пульпита, периодонтита  как  молочных, так и постоянных зубов. Она также осуществляет удаление молочных зубов, обеспечивая максимальный комфорт и безопасность процедур.

Екатерина Сергеевна проявляет высокую эмпатию и профессионализм во взаимодействии с детьми, которые ранее испытали негативный опыт лечения зубов. Благодаря ее бережному и чуткому отношению, дети чувствуют себя комфортно и уверенно на приеме, и у них не возникает страха перед лечением.

Пациенты отмечают, что приемы у Екатерины Сергеевны проходят в доброжелательной и спокойной атмосфере, что создает условия для эффективного лечения и восстановления здоровья зубов у маленьких пациентов. Ее профессионализм и заботливое отношение делают ее одним из самых востребованных детских стоматологов в клинике

Стаж работы

12 лет

Принимает клиниках

  • пр. Космонавтов, 11 (Детское отделение)
  • пр. Космонавтов, 11

Специализация

  • Стоматолог детский

Сертификаты

460
461
462
463
464
465
466
467
468
469
470
471
472
473
474
475
476
477
478
479
480
481
482
483
484
485
486
487
488
489
490
491
492
493
494

Отзывы по врачу

Читать все отзывы

Врач: Захарова Екатерина Сергеевна

Экстренный случай - быстро помогла!
Ночью у дочки разболелся зуб - опухла щека. Екатерина Сергеевна приняла нас вне очереди, всё быстро вылечила. И главное - так спокойно всё объяснила, что дочка даже не испугалась. Теперь только к вам!...
Экстренный случай - быстро помогла!
Ночью у дочки разболелся зуб - опухла щека. Екатерина Сергеевна приняла нас вне очереди, всё быстро вылечила. И главное - так спокойно всё объяснила, что дочка даже не испугалась. Теперь только к вам!
Показать весь отзыв

Врач: Захарова Екатерина Сергеевна

Лучший детский стоматолог!
Ходим к Екатерине Сергеевне уже 3 года - ни одной дырки! Всегда объяснит ребёнку на его языке, что делает. Мой Сашка теперь сам напоминает чистить зубы)) Спасибо за ваш подход!...
Лучший детский стоматолог!
Ходим к Екатерине Сергеевне уже 3 года - ни одной дырки! Всегда объяснит ребёнку на его языке, что делает. Мой Сашка теперь сам напоминает чистить зубы)) Спасибо за ваш подход!
Показать весь отзыв

Врач: Захарова Екатерина Сергеевна

Спасла зуб после травмы
Сын упал с велосипеда - передний зуб скололся. Думала, теперь улыбаться не сможет. Но Екатерина Сергеевна сделала такую реставрацию, что даже я не вижу, где был скол! Профессионал с золотыми руками!...
Спасла зуб после травмы
Сын упал с велосипеда - передний зуб скололся. Думала, теперь улыбаться не сможет. Но Екатерина Сергеевна сделала такую реставрацию, что даже я не вижу, где был скол! Профессионал с золотыми руками!
Показать весь отзыв

Врач: Захарова Екатерина Сергеевна

Дочка раньше в истерике была при виде стоматолога. А тут - сказка! Екатерина Сергеевна и мультики включила, и про фей рассказывала во время лечения. Теперь у нас все зубки здоровые, а доча даже не пикнула!...
Дочка раньше в истерике была при виде стоматолога. А тут - сказка! Екатерина Сергеевна и мультики включила, и про фей рассказывала во время лечения. Теперь у нас все зубки здоровые, а доча даже не пикнула!
Показать весь отзыв

Врач: Захарова Екатерина Сергеевна

Спасибо за терпение с нашим непоседой!
Мой Ваня - тот ещё шустрик, ни секунды на месте. Но Екатерина Сергеевна нашла к нему подход - и зубы вылечили, и смеялись весь приём! Теперь сын спрашивает: "Мама, когда опять пойдём к тёте Кате?"...
Спасибо за терпение с нашим непоседой!
Мой Ваня - тот ещё шустрик, ни секунды на месте. Но Екатерина Сергеевна нашла к нему подход - и зубы вылечили, и смеялись весь приём! Теперь сын спрашивает: "Мама, когда опять пойдём к тёте Кате?"
Показать весь отзыв

Работы врача

Фото ДО
Фото ПОСЛЕ

Наведите для просмотра

Коронки на молочные зубы

Фото ДО
Фото ПОСЛЕ

Наведите для просмотра

Лечение кариеса молочных зубов

Фото ДО
Фото ПОСЛЕ

Наведите для просмотра

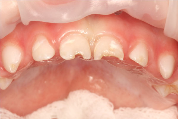
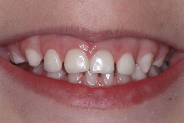
Реставрация фронтальных молочных зубов

Фото ДО
Фото ПОСЛЕ

Наведите для просмотра

Лечение глубокого кариеса молочных зубов

Фото ДО
Фото ПОСЛЕ

Наведите для просмотра

Реставрация молочных зубов

Фото ДО
Фото ПОСЛЕ

Наведите для просмотра

Реставрация 12 зуба ребёнка композитом

Клиники, в которых принимает специалист

Детское отделение

Клиника «Эксперт»

Консилиум врачей в подарок Получить подарок